歴史的な偉大な解剖学書

脊椎Vertebrae, Wirbelは消化器系の背方,脊髄の腹方にある分節性の器官で,不対性ではあるが左右対称の形にできていて,正中面がこれを折半する.脊椎は列びつながって柱状をなし,椎間円板および他の諸靱帯とともに,胴の支軸となる骨格すなわち脊柱Columna veretebralis, Wirbelsäuleを形成する.
第1の脊椎の上方には頭蓋があり,脊柱がこれを支えている.頭蓋は同時にまた脊柱と親密な類縁関係を持つものである.
脊柱の一部は側方で12対の独立した肋骨と連結している.また脊柱の他の一部は下肢帯とかたく(短い仙肋骨がその間にはさまって)結合している.このようないろいろ異なった付加物によって,脊柱には頚・胸・腰・仙・尾の各部が区別がされるのである.
脊椎は次のように区別される:7個の頚椎Vertebrae cervicales,12個の胸椎Vertebrae thoracicae, 5個の腰椎Vertebrae lumbales, 5個の仙椎Vertebrae sacrales,それに4~5(3~6)個の尾椎Vertebrae caudales S. cocygicaeである.
第1~24の脊椎は真椎,自由椎,あるいは可動椎ともよばれる.またそのうち最初の2つの脊椎は回転椎Drehwirbel,その他のものは屈曲椎Beugewirbelとよばれる.骨結合によって連結した5つの脊椎は,仙骨Os sacrum, Kreuzbeinという1つの骨をなし,おのために5つは仮椎,不自由椎,不動椎(各椎間が動きえない意)などとよばれる.尾椎は集まって尾骨Os coccygis, Steißbeinを形成し,仙骨との間も尾椎間同志も可動性に結合されている.しかし成人では尾椎はたがいに多少とも癒合している.尾椎は次第に退化する傾向にある脊椎で,その不完全な形のために,これまた仮椎と呼ばれる.しかし形態学的にみれば,尾骨の脊椎も仙骨のそれも,やはりどこまで真の脊椎と考えるべきものである.尾椎は脊柱の鼻部をなすもので,この部分は多くの動物で非常に長い.
ヒトの椎脊のうち退化的でないものは,すべて環状をなしており,その環には主体となる部分すなわち椎体Corpus vertebraeと,弓状の部分すなわち椎弓Arcus vertebraeとが区別され,それらによって椎孔Foramen vertebrae, Wirbellochが囲まれる.
胸椎(図179,180)の椎体は短い円柱状の骨部で,上面および下面Facies cranialis, caudalisならびに前後の両面をもっている.
前面は左右の方向には(つまり椎体の横断でみると)凸をなしてまがり,上下の方向には(つまり椎体の矢状断でみると)かるく凹を描いている.上下の両面の縁が少しは出ばっている.後面は左右の方向にかるく凹をなしている.
上下の両面は椎間円板との付着部となっている.たての各面には血管とくに静脈の通る孔が沢山あいている.そのうち椎体の後面のほぼ中央にある1個またはそれ以上の開口はとくに大きい.
[図179]第7胸椎 左側からみる(9/10)
[図180]第7胸椎 上からみる(9/10)
[図181]第7頚椎(隆椎) 上からみる(9/10)
[図182]第7頚椎 上からみる(9/10)
椎弓は対称的な左右両半からなり,それぞれ椎体から後方に伸びて,正中面で相合する.椎弓が両側ではじまる部分は椎弓根Radix arcus vertebraeという.椎弓根はいっそう太い外側部Seitenstückに移行し,これに閉鎖部SchüßstückすなわちWirbelplatte(板状部)がつづく.
各々の外側部は上下各1本の突起を出して,この突起が関節面を1個ずつそなえている.これが上および下関節突起Facies articulatis cranialis, caudalisによって,となりの脊椎と関節結合をなしている.外側部からはまた各側1本の突起が外側に伸び,これが横突起Processus transversus, Quefortsatzである.
椎弓の閉鎖部からは不対性の棘状の突起すなわち棘突起processus spinalis, Dornfortsatzが伸びる.
椎弓根は椎体の高さ全体にわたって起こるのではなくて,椎体の下面よりも上面にいっそう近いところで,その一部から起こっているに過ぎない.このようにして,重要な上および下椎切痕Incisura vertebrae cranialis, caudalisが形成される.下椎切痕の方が上椎切痕よりも大きくて深い.1つの脊椎の上に次の脊椎が重なるために,上下の切痕によって1つの短い管,あるいは呼びならわしにしに従えば1つの「孔」が生じる.これが椎間孔Foramen intervertebrale, Zwischenwirbellochで,脊柱管Canalis vertebralis, Wirbelkanalに通じる.
前述の脊椎の5群はそれぞれ脊椎の全部に通じる特徴のほかに,さらに各群に特有の目じるしは各群の中ほどの脊椎でとくにはっきり顕われるので,椎体であれ,椎弓であれ,突起であれ,脊椎のほんの一部さえ見えれば,その脊椎がどの端の方にある脊椎は,となりの群を特徴をいく分とり入れており,そのため移行的な性格を示している.さていよいよ脊椎の各群を順を追って観察してゆこう.
7個の頚椎のうちで,はじめの2つ,環椎Atlasと軸椎Epistropheusは別にして述べなければならないが,次の点ではこの2つの頚椎も他のすべての頚椎にと一致している.それは,横突起Querfartsatz正しくは肋横突起Foramen costotransverariumが抱かれていることである.
肋横突起の前部は頚肋骨Halsrippeの痕跡である.これに対して後部が本来の横突起であって,前部が後部に結合する部分は,後述の胸肋骨Brustrippenの肋骨結節に相当するのである.v. Hayek (Morph. Jahrb., 60. Bd.,1928)によれば痕跡的な肋骨の外とはないという.ところで肋横突起の根にもこれを貫いてForamen intratransversarium (Hayek)という孔があることがある.肋横突孔とこの孔とが同時に存在する場合には,肋横突孔が2分したともいえるのである.
肋横突起の上面には,第3頚椎以下,脊髄神経溝Sulcus nervi spinalisという深くて幅の広い溝がある.第3以下の頚椎では,第7頚椎を除いては,肋横突起の外側端が2つの突出部を示し,これを前および後結節Tuberculum ventrale, dorsaleという.
頚椎の体は小さくて矢状方向よりも横の方に述べた形で,第3から第7頚椎へと幅がひろくなっている.上面は左右方向に(つまり前額断でみると)凹,下面は前後方向に(つまり矢状断でみると)凹をなしている.両面ともこれと直角方向に線上では軽く凸となっているので,つまり鞍状を呈することになる.
関節突起は幅がひろくて平たい.その関節面は斜めになっていて,くわしくいえば上関節面は前・下・内側に向かっている.
椎弓の閉鎖部は長くて,関節面の傾きと同じ方向に傾いている.
棘突起は短くて,かるく下方に傾き,回の頚椎ほど長さが増す.棘突起はフォーク状に2つの棘に分かれているが,この棘は第6頚椎ですでにごく短くなっており,第7頚椎では全く欠けるか,わずかにそれとおぼしいものが存在するに過ぎない.
しかし第7頚椎の棘突起じしんは,長さにおいても太さにおいても,その他の頚椎の棘突起をしのぎ,ほとんど水平に伸びて,皮膚の上から容易に触れることのできる,かなり強い高まりをつくっている.この脊椎が隆椎Vertebra prominensとも呼ばれるのはそのためである.
椎孔は円みを帯びた三角形で,胸椎や腰椎のそれよりも広い.
第6頚椎の前結節は他の頚椎のそれよりも長く突起し,そのため頚動脈結節Tuberculum caroticumという高まりをつくっている.たいていの哺乳類動物では,頚動脈結節が板状に強く発達しており,この状態はヒトではしばしば現われる.前結節は第7頚椎ではひっっこんでいて小さい.しかし時にこれがいっそう著しく発達し,独立した1個の可動性の肋骨となることがあり,この肋骨が胸骨に達していることさえある.
Okamoto (Anat. Anz., 58. Bd. )は第7頚椎の横突起の前結節を,ヨーロッパ人において約80%にみとめているが(岡本規矩男.“niedere Rasse”としてブッシュマンと東インドオーストラリア人の骨をみている.日本人については,「たいていの場合前結節はよく発達している」と述べている.),下等人種においてはわずかに37%しか見えていない.
第1頚椎すなわち環椎Atlasには,前方に弓状部すなわち前弓Arcus ventralisがあり,その前端には1つの小さな高まりすなわち前結節Tuberculum ventraleが見られる.また前弓の後面には歯突起関節面Facies articularis dentalisという1つの関節面があって,軸椎の歯突起がこれに接して滑る.側方には大きい骨質塊があって外側塊Massa lateralisという.上方の2つの関節面すなわち上関節面Foveae articulares craniales, Occipitalpfannenは卵円形で,前方にゆくほど左右のものが近づき,前後方向に凹面をなしており,正中面にむかって落ち込むように傾斜している.この関節面が2つの部分に分離していることも稀ではない.下方の関節面すなわち下関節面Facies articulares caudalesはほぼ円形で,平ら,またはややへこみ,下内側かつやや後方に向かっている.外側塊の内側面には,各側1つずつの円みをもつ小さい高まりがあり,そこには環椎横靱帯の付着する所に当たってへこみがあって,そこはザラザラしている.環椎の左右の外側塊の後端からは,よく発達した後方の弓状部すなわち後弓Arcus dorsalisが起こって環を後方で閉じ,棘突起のかわりに後結節Tuberculum dorsaleをもっている.後弓の上面には外側塊に近いところに椎骨動脈溝Sulcus arteriae vertebralisという溝がある.この溝は骨部におおわれて孔になっていることもある.
第2頚椎すなわち軸椎Epistropheusでは,前方の部分がつよく発達していて,ここに歯突起Densという柱状のたくましい突起がある.環椎はこれを軸として頭蓋と一緒に回転するのである.この突起は上端部は太くなって,その先端は鈍く,歯突起尖Apex dentisとよばれる.またその下部はやや細くなっている.歯突起の前面には環椎の前弓と結合するための1つの関節面があり,前関節面Facies articularis ventralisとよばれる.また歯突起の後面には環椎横靱帯が接するための浅い平滑な溝があり,後関節面Facies articularis dorsalisという.
軸椎の体は下方へ向かっていくらか細くなって伸びているが,それは第3頚椎の上面に適合するためである.椎体の前面には正中部に低い隆起線があり,その両わきに2つの浅いくぼみがある.外側関節面Facies articularis latealisは大きくて,ほとんど平坦で,外後方へへ傾いている.下面には関節突起と関節面とがあり,以下の頚椎がもつものに相当していて,これについてはすでに述べた.椎弓の閉鎖部はがっちりして非常に大きく,凹凸があって先が2つのとげばった部分に深く分かれている.肋横突起は短く,脊髄神経溝がかすかに見える.肋横突孔は肋横突突起を下内方から上外方へと斜めの方向に貫いている.
胸椎の体は前の方では後の方よりも高さがやや低く,円みを帯びた三角形あるいはハート形の上下面をもっている.
椎体は第1から第12胸椎へ次第に高さを増す(図207).矢状径も下にゆくほど大きくなり,中ほどの胸椎では横径とほぼ同じ長さになる.第1および第2胸椎体は矢状径よりも横径の方が大きいことを特徴としている.下位の胸椎の体も幅を増し,腰椎の体の横に長い卵円形に移行している.
椎体の外側面,椎弓の基部のわきに,平らな関節窩があり,この関節窩の存在する部分はしばしば椎体からややたかまっている.これは肋骨小頭のの接するところで,それゆえ肋骨窩Foveae costales, Rippenphannenとよばれる.
椎体の多くは左右各側に半分の肋骨窩を2つずつ(上縁に1つ,下縁に1つ)もっているので,それぞれ上および下肋骨窩Fovea costalis cranialis, caudalisとよばれる.となりあう2つの脊椎の肋骨窩の半分同志が寄り合って,その間にある椎間円板とともに肋骨小頭を受け入れるようになっている.
しかしながら次の脊椎は特異な点を示している.まず第1胸椎は上縁に完全な肋骨窩が1つ,下縁に半分の肋骨窩が1つある.もっとも第1肋骨が上にずれて第7頚椎と第1胸椎のあいだに来ている場合には,第1胸椎体の上縁と第7頚椎体の下縁とが半分の肋骨窩を1つずつもつことになる.つぎに第11および第12骨の小頭は,相当する椎体の真中の方へ寄って位置しているので,第11および第12胸椎は完全な肋骨窩をそれぞれ1つもつことになる.それゆえ第10胸椎は半分の肋骨窩を上縁に1つしかもたないのである.
関節突起の軟骨でおおわれた関節面はほぼ前額面に一致している.そして上関節面はだいたい後方に向き,下関節面はだいたい前方を向いている.しかし第1胸椎の上関節突起と,第12胸椎の下関節突起とは,となりの脊椎群と同じ形の関節部をもっている.横突起は外後方に向かって伸び,第7または第8胸椎までは下にゆくほどいくらか長さを増すが,それ以下ではまた短くなる.横突起の自由端の前面には,肋骨結節の接する1つの小さい関節面があって,横突起の肋骨面Facies costalis processus transversiという.この関節面は第11および第12項椎では欠けている.椎弓の閉鎖部は頚椎におけるよりも長さが短くて丈が高く,その縁は凹凸があって,しばしば鋸歯状を呈する.棘突起は三角柱の形をなして斜め下方に向かって非常に長く伸び(とくに中ほどの胸椎で),その端は小さいふくらみをなして終わっている.椎孔はほぼ円形で,頚椎および腰椎におけるよりも小さい.
椎体の横径および矢状径,とくに前者は胸椎より大きくなっているが,高さの増加はそれほどでない.上下面は腎臓あるいはソラマメの形をしている.第5腰椎の体は,後ろの方が前の方よりかなり丈が低い.
関節突起は太くてがっちりしている.関節面は矢状面に一致していて,同時に円柱面状の「ふくらみ」と「へこみ」をなしている.それぞれの上関節突起からは,1つの小さい高まりが上後方に伸び,乳頭突起Processus mammillarisとよばれる.
上関節突起は下関節突起を外側から抱きこんでいる.どの脊椎群においても,上関節突起は同時に前関節突起,下関節突起は後関節突起ともいうべき位置関係にある.関節面が(胸椎・頚椎のように)前額面上になっく,(腰椎のように)矢状面上にあるときは,上関節突起は外側から抱きこむ方,下関節突起は抱きこまれる方となる.この場合,後者の関節面は凸,前者の関節面は凹をなしている.
横突起Querfortsatz正しくは肋骨突起Processus costariusは長くて扁平で,上下の稜と外側に向く面とをもっている.各肋骨突起の基部から後方へ向かって1つの小さい尖った突起が出ており,これを副突起Processus accessoriusという.第5腰椎の肋骨突起は通常ほかの腰椎のそれにくらべて短くて太く,大抵いくらか上向きに伸びている.
5個の腰椎は頚椎と同様に,独立した肋骨をもっていない.とはいっても腰椎もまた肋骨の痕跡をもつのであって,それは肋骨突起の中に含まれている.すなわち腰椎の肋骨突起は1つの大きい肋骨痕跡と,1つの小さい横突起とが合してできて来たものである(Rosenberg).しかし肋骨から由来した部分は,各腰椎によってその発達程度が違っている(Holl).ところで肋骨の痕跡と横突起との癒合が起こらないと,腰肋[骨]Lendenrippeというものが生じ,これは第1腰椎においてはかなりの大きさに達することがある. -Holl., sitzber. Akad. Wiss. Wien,128. Bd.,1919.-各腰椎の肋骨突起の癒合状態のちがいについての詳しい報告はHyek, Morph. Jahrb., 60. Bd.,1928.
椎弓の閉鎖部は太くて丈が高いが,下位の腰椎では高さが減じている.閉鎖部の上縁と下縁とは滑らかでなくてギザギザしている.棘突起は強大で,両側から押しつけられた形で,ほとんどまっすぐ後方へ向かっている.その後端は厚くなっていて凹凸が多い.椎孔は広く,三角形ないしは横に長い菱形をなしている.
仙骨は上方は幅が広くて厚いが,下方は細くて薄く,全体としては三角形のシャベルのような形である.仙骨は5つの脊椎と,それらに属する肋骨痕跡とが骨性に癒合してできたものである.
前面Facies pelvinaは上下の方向では強く弓なりにへこんでいるが,横の方向にはほんのわずかにへこんでいる程度である.前面で眼だっているのは4本の横走する隆起すなわち横線Lineae transversaeであって,これは5つの椎体のたがいに癒合した所に当たっている.これらの線の両端には4つの大きい孔があり,これは下方のものほど少なくなっていて,前仙骨孔Foramina sacralia pelvinaと呼ばれ,この孔は外側へ溝になって続いている.第3仙椎の体の中央のあたりで,仙骨が急に弯曲しているのが普通である.
背方の凸出した面すなわち後面Facies dorsalisは,よく発達した例では正中線上に中仙骨稜Crista sacralis mediaという隆起があって,そこに4つのかなり強大な突起が出ている.この突起がつまり仙椎の棘突起の端なのである.それほどはっきりしたものでないが,その左右に1列ずつ縦に並ぶ凹凸は,関節仙骨稜Crista sacralis articularisとよばれ,各側の関節突起が癒合した部分に当る.一番上の関節突起すなわち上関節突起Processus articularis cranialisは自由端をなしていて,第5腰椎の下関節突起を外側から抱きこんでいる.また一番下の退化的な関節突起は各側で角のように下方へ伸びているので,仙骨角Cornu ossis sacriという名がついている.両仙骨角と,最下またはその1つ上の棘突起との間に,門のような形の仙骨管裂孔Hiatus canalis sacralisが開いて,脊柱管の仙骨部すなわち仙骨管Canalis sacralisに通じている.関節仙骨稜の外側には各側に4つの後仙骨孔Foramina sacralia dorsaliaがみられる.
各仙骨孔は仙骨を矢状方向に貫く斜めの短い管の端である.そして椎間孔Foramina intervertebraliaが,仙骨管から外側にでる仙椎間管Canales intersacralesという道をなして,この短い管に内側から開口するのである.
後仙骨孔の外側には各側に,今までのとは別のひとつづきのデコボコした隆起があり,これを外側仙骨稜Crista sacralis lateralisという.この隆起は癒合した各横突起ならびにそれに属する靱帯群の後縁に当たるものである.そしてここはもう仙骨の外側部に属するのである.
仙骨の外側部Pars lateralisというのは,仙骨孔よりも外側にある全領域のことである.この部分は各横突起ならびにそれに属する肋骨痕跡や靱帯群が癒合しあって生じるのである.外側部には寛骨と結合するための,耳介の形をした大きい関節面があって,たいてい(60%)仙椎2つ半にまたがってひろがっている.この耳状面Facies auricularisの後方には凹凸のある,外側仙骨稜に続く領域があって,強力な靱帯群の付着部をなしている.これが仙骨粗面Tuberositas sacralisである.仙骨の尖端すなわち仙骨尖Apex ossis sacriに向かって強くけずり出された形である.上端面Facies terminalis cranialisは第5腰椎の下面とほとんど直角をなして結合しているので,この角は岬角Promunturiumと名付けられている.上端面の後方には,すでに述べた上関節突起が出ている.またこの関節突起の前方には上椎切痕がある.
[図183]環椎 上からみる(9/10)
[図184]軸椎 左からみる(9/10)
[図185]軸椎 前からみる(9/10)
[図186]第3腰椎 上からみる(9/10)
[図187]仙骨(男性)の前面(4/5)
[図188]仙骨(男性)の上端面(4/5)
[図189]仙骨(男性)の後面(4/5)
[図190]仙骨の矢状断(3/5)
[図191]尾骨 後からみる(9/10)
[図192]尾骨 前からみる(9/10)
[図193]仙骨と尾骨 右側からみる(4/5)
[図194]第1および第2肋骨(右)上からみる(2/3)
[図195]第11肋骨(下図)と第12肋骨(上図)(いずれも右)下面(2/3)
仙骨尖Apex ossis sacriには小さい下端面Facies terminalis caudalisがあって,椎間円板によって尾骨の上端面と結合している.
仙骨管Canalis sacralisは三面形で,仙骨の曲りに応じて弯曲し,下にゆくほど狭くなっている.仙骨管は下部では仙骨の後面で裂け目のような形で口を開き,仙骨管裂孔Hatus canalis sacralisをなしている.
性差.女性の仙骨は男性のにくらべて,長さのわりに幅が広い.同時にまた男性のよりも短くて弯曲が少い.つまり男性の仙骨は女性のそれより長くて細く,弯曲が強いわけである.また女性の仙骨は正三角形に近い形をしている.
個体差.個体による仙骨の形の差や組織のちがいが非常にしばしば見られる.5つの脊椎が集まって仙骨をなすのは約半数例で,4つのことは稀であり,それよりは6つのことが多い(長谷部言人によれば日本人で仙骨が4個のこと1.1%,6個のこと28.7%である.).7つの脊椎からできている仙骨をFretsが写生している(Morph. Jahrb., 48. Bd.,1914).左右非対称も現われることがあり,それは第1仙肋骨が1方のみ欠けているためのこともあれば,第5腰椎に通常の肋骨痕跡のかわりに,よく発達した仙肋骨が1側だけに生じるためのこともある.このような場合には両側の関節面の高さが異なって,そのために骨盤の形まで影響をうける.
ヨーロッパ人の仙骨は絶対的にも相対的にも,その他の人種(日本人も該当する.)の仙骨より幅がひろい(Radlauer, Morph. Jahrb., 38. Bd).
成人の尾骨はわずかに4つまたは5つの脊柱からなることが普通で,稀には3つまたは6つの脊椎からなることもある.
しかし胎児の原基においては,最初の尾椎は9つ認められるのだから,いろいろな場合に6つ以上の尾椎が見出されることも,このことから容易に説明がつくであろう.もっともヒトのいわゆるfreier Wirbelschwanz(尾骨が仙骨から遊離してぶらぶらしているのを指すのであろう-小川鼎三)が6つの仙椎からなるということは,けっして多くみられるのではない.
個々の尾椎は下にゆくほど小さくなり,それにつれていっそう退化的になる.
第1尾椎にはなおかなりよく発達した椎弓の名残があり,また以下のものよりずっと幅が広い.その上面は尾骨の上端面Facies terminalis sacralisをなし,椎間円板によって仙骨と結合し,下面は第2尾椎と結合している.外側に張りだした2つの部分は横突起の残りで,尾骨の横突起Processus transversi ossis coccygisとよばれる.また角のように上方に突出した2つの部分は尾骨角Cornua ossis coccygisとよばれ,上関節突起の残りであって,仙骨角の方へ向かって伸びている.
第2尾椎と第3尾椎とは分離していることもあるし,癒合していることもある.中年の人では最期の3つの尾椎はくっついて1塊をなしているのが普通であるが,そうなってもなお何本かの溝が,もとの分離のことを物語っている.さらに年齢が進むと,すべての尾椎が癒合し,ついには仙骨ともくっついてしまうが,この変化は女性より男性に早い.第1尾椎は,すでに仙椎相互の骨結合がおおなわれる時期に,これらの仙椎と同じ運命に従うことがあって,そのときには第1尾椎が第6仙椎となるわけである.
脊柱の頚部,腰部,仙部の肋骨痕跡についてはすでに述べたが,胸部の肋骨すなわち胸肋骨Brustrippenがまだ残っている.胸肋骨は左右対称に12対あって,この12対がいろいろ異なった形成段階に達しているために,たがいに形を意にしている.脊椎と骨性に結合した肋骨痕跡は不動性であるが,ここに述べる胸肋骨はすべて独立した可動性の肋骨である.肋骨痕跡も独立した胸肋骨も,形態学的にはすべて歴とした肋骨なのであるが,どの1つとして完全な箍にはなっていない.
独立した肋骨はすべてが胸骨に達するのではなくて,上位の7対だけが胸骨につく.それでこれらを胸骨肋Costae sternalesと呼び,残りの5対を弓肋Costae arcuariaeという.第8,9,10対は,その肋軟骨が,それぞれ1つ上位の肋軟骨に鋭い角をなして接して,結合組織で結合しているので,付着弓肋Costae arcuariae affixaeとよばれる.
一方第11および第12肋骨の軟骨は,腹壁の筋層の間に自由端をもって終わっているので,浮遊弓肋Costae arcuariae fluctuantesという.しかし第10肋骨もしばしば自由端に終わって,第10浮遊肋Costa decima fluctuansとなっていることがある(日本人の肋骨の欧米人との比較については喜々津恭胤,人類学雑誌45巻第4付録,1930を参照されたい.).
各肋骨には骨質の部分すなわち肋硬骨Os costaleと,軟骨の部分すなわち肋軟骨Cartilago costalisとが区別される.
それぞれの肋硬骨は男性のある締金をなしていて,肋骨小頭の関節面Facies articularis capituli costaeがあって,この面は第2から第10までの肋骨では,横走する1本の隆線すなわち小頭稜Crista capituliによって上下の両部に分けられ,錐体のもつ上下の両部に分けられ,椎体のもつ上下の肋骨窩に接している.しかし第1,第11および第12の肋骨には小頭稜がなく,単一の関節面があるにすぎない.
小頭の外側には細くくびれた肋骨頚Collum costaeがつづき,後方に突きでた肋骨結節Tuberculum costaeのわきで終わっている.
大部分の肋骨では,頚の上縁が肋骨頚稜Crista colli costaeという稜線をなしている.肋骨結節のところから肋骨体がはじまる.肋骨結節は,対応する脊椎の横突起の肋骨面と接着するのであって,第1から第10までの肋骨はそのための関節面すなわち肋骨結節の関節面Facies articularis tuberculi costaeをもっている.この関節面の背側にあるザラザラした部分は靱帯の付着するところである.
肋骨結節の外側で,それまで下外側および後方に向かっていたが肋骨体が,急に方向をかえて前方に向かうので,助骨角Angulus costae, Rippenwinkelという後方の粗な角ができている.肋骨体の下縁は鋭い稜をなし,この稜は頚にまで続いている.肋骨体の内面をみると,その下部に肋骨溝Sulcus costaeがあり,その中を肋間動静脈と同名の神経が走るのである.肋骨の前端は肋軟骨とつながるために,いくらか太くなり,またくぼみができている.
肋骨は第1から第7または第8へと長さを増してゆき,第8または第9から第12にへと短くなってゆく(喜々津によれば日本人では第6肋骨で弧長が最大となり,以下の肋骨の長さの減り方は欧米人より著しいという.),それで最12肋骨は第1肋骨とくらべてると,いくらか長いことが多くて,またいくらか短いことも少ない.幅は第1肋骨が最も広く,中位の肋骨がこれにつぎ,第12肋骨が最も狭い.肋骨角と肋骨結節との間のへだたりは第2から第11にかけて次第に大きくなる.第1肋骨では肋骨角と肋骨結節は同じところにあり,第12肋骨では両者とも欠けている.
第1肋骨(図194)はほかのどの肋骨よりも短くて幅がひろく,かつ強く弯曲している.第1肋骨の2つの面はほとんど正確に上方と下方に向き,その縁は内方と外方とに向かっている.小頭は単一な,すなわち小頭稜のない関節面をもっている.頚は円くて,ほっそりとしている.第1肋骨は第1胸椎だけの椎体および横突起と関節で結合している.第1肋骨の上面には,1つの粗面ないしは低い高まりで分けられた,2つの浅い平滑なへこみがあり,その後方にはさらに大きい粗面があって,中斜角筋の付着部をなしている.前述の2つの浅いへこみのうち後方のものは鎖骨下動脈溝Sulcus arteriae subclaviaeとよばれ,鎖骨下動脈が走るためにできたものであり,前方のものは同名の鎖骨下静脈が走るためにできたものであり,前方のものは同名の鎖骨下静脈が走るためにできたものである.またこれら2つの平滑な部分の間にある粗面ないし隆起は斜角筋結節Tuberculum musculi scaleniとよばれ,前斜角筋の付着するところである.第2肋骨は第1肋骨より長く,その外面には著しい凹凸のある第2肋骨粗面Tuberositas costae IIがあって,ここから外側鋸筋のつの巨大な起始尖が起こる.
第11および第12肋骨には下縁に肋骨溝がなく,肋骨結節もない.また小頭には小頭稜がなくて,1つの関越面をもつだけである.肋骨角は第11肋骨では,あるかなきかの程度得,第12肋骨では完全に欠けている(図195).
肋硬骨(図201,202)は肋骨小頭から前正中線にいるまで,だんだん下方へ下りながら走っている.この下り方は,小頭と肋骨角との間で一番弱い.肋骨の面の弯曲Flachenkrümmungは肋骨の前部よりも後部の方でいっそう強く,肋骨角のあたりで最もつよい.したがって曲率半径は,後方では側方および前方よりも小さくなっている.
[図196]第7肋骨(右) 下からみる(5/9)
[図197]第7肋骨(右) 内からみる(5/9)
[図198]頚部脊柱 左後方からみる(5/9)(H. Virchowの標本で,自然の距離と自然の弯曲とを保って組み立てられたもの)
肋骨は面の弯曲はほかに自らの軸を中心にねじれている.このねじれTorsionskrümmungがあるために,肋骨の大部分のものは後部ではその両面がほとんど垂直に立っているのに,前方ではその外面がななめ上方に向いている.肋骨にはさらにまた稜線のまがりKantenkrümmungがある.これは第1肋骨においてはその弯曲の主体をなしている.このようなわけで,肋骨には3様のまがり方が区別される.すなわち面の弯曲,ねじれ,稜線のまがりである.そしてこれらの各種のまがり方は,肋骨それぞれに異なっている.
肋骨が胸椎と接することによって,頚椎・腰椎ならびにそれらの肋骨痕跡についてすでにみた現象が問題となってくる.それは頚椎の肋横突起と相同の部分,すなわち胸椎とその肋骨とによって,肋横突起孔がつくられることである.しかしこの重要な間隙は靱帯群によってほとんど完全に充たされている.
肋軟骨Cartilagines costales, Rippenknorpelは肋骨小頭の関節軟角とともに,肋骨の骨化せずに残っている部分である.肋軟骨は軽くまるみをもつ面と,角のとれた縁とをもっている.その長さは第1肋軟骨から第7肋軟骨へかけて次第に増し,それから第12肋軟骨へは急激に短くなっている.また肋軟骨の幅は後端から前端へ次第に狭くなる.肋軟骨の走向は非常にまちまちである.
第1肋軟骨は胸骨に向かって少し下向きに走っているが,第2肋軟骨は水平に向かって少し下向きに走っているが,第2肋軟骨は水平に走っている.残りのすべてのものは,第11と第12肋軟骨を除いては,肋硬骨から胸骨へかけて,下位のものほど急角度をなして上方へ走っている.このさい,第5から第10までの肋軟骨には肋軟骨角Rippenknorpelwinkelという下方へ凸の強い弯曲がはっきりとしてつくられている.これは肋硬骨と同じ方向に外側ら伸びてきた肋軟骨が,方向を変えるところである.
肋軟骨の後端は肋硬骨の凹みにはめ込まれて,それとしっかり結合している.しかし前端の状態は一定していない.第1肋軟骨は胸骨柄(図201)に特設に,たいていは関節を造らずに結合しているが,ここに小さい関節腔がみられるこtもないわけではない.第2から第7までの肋軟骨は関節をなして胸骨につながっている.第8~12肋軟骨の前端の状態については131頁を見られたい.
第6(ときに第5も)から第9肋骨までの肋軟骨は,肋間隙において軟骨の突起すなわち上および下関節突起kraniale und kaudale Gelenkfortsätzeをたがいに出しあって,肋軟骨間関節Articuli intercartilaginei, Rippenknorpelgelenkeという歴とした関節をつくっている.
変異:第10肋骨は以前に考えられたよりも高い非頻度で,自由端をもって終わっている.これはチューリッヒの住民では70%に認められるが,べつに退化的現象というわけではない(Stiller)ではむしろ稀で,日本人(Bälz)ではかなり頻度が高いから,それらく人種による差異があるものと思われる.肋軟骨間関節は人類の胸郭に特有のもので,男女で同じ頻度に現われ,第6肋骨のの軟骨間が関節によって結合している例はvon Bardelebenによれば両側とも38%に存在する.胸骨に付着する肋骨の数(鈴木文太郎によれば日本人で8本のこと18.5%,7本のこと81%,6本のこと0.5%である.)が8本のことはFreyによれば10%に認められ,7本のことは77%,6本のことは0.6%に存在する(Adolphi S.143を参照せよ).肋骨の数(長谷部言人によれば日本人で13本のこと6.1%,11本のこと1.1%である.)は12本ことが94.8%,13本のことが1.6%,11本のことが3.6%である.(Frey 1929).肋骨の数の増加は男の方が男の方が女より高い頻度にみられる.第12肋骨がごく小さくなっていたり,あるいは全く欠けていることがある.しかし独立した第1腰肋骨が形成されている場合には,第12肋骨が長くなっていることもある.第1肋骨が欠けていることもないわけではない(ベルリンの解剖学標本集にそれが1つある).第7頚肋骨が独立して形成されることによって,13本目の肋骨が生じうる.第10,第11(これが最も多い),あるいは第12肋骨の軟骨のつづきをなして,内腹斜筋の中に腱画が認められることがあって,この腱画には小さい棒状の軟骨が含まれることが少なくない(Frey1918).
さらに稀には前方部で幅が非常にひろくなっていたり,分裂したりしている肋硬骨が見いだされる.とくに第4肋骨はこのような異常を示す傾向がある.2つまたはそれ異常の肋骨が,ある距離だけその縁で癒合していることも時として見られる.第1肋軟骨は成人では石灰化の傾向を示し,その他の肋軟骨も,程度はそれより少ないけれども同じ傾向をもっている.また女性では男性よりもこの傾向が少ない. -Frey, Hedwig, Vierteljahrsschrift Naturforsch. Ges., Zurich, 63. Jahrg.,1918; Morph. Jahrb., 62. Bd.,1929
胸骨は胸郭の前方部で中央を占めており,ななめ下前方へ伸びている.他の骨格との結合をみると,上位7対の肋骨と,その肋軟骨によって結合し,また両側の鎖骨にもその固着部を提供している.
胸骨柄Manubrium sterniに胸骨体Corpus sterniが付いている.中年までは胸骨体が柄から分離していて,線維軟骨でその間を結合して胸骨結合Symphysis sterniをなしている.胸骨結合の部分は前方に突出していて,胸骨角Angulus sterniとよばれる.下端の部分をなす剣状突起Processus ensiformis, Schwertfortsatzは通常思春期までは完全に軟骨性で,その後も少なくとも一部は軟骨性である.
[図199, 200]胸骨(2/3)図199は前面,図200は左側からみる.
胸骨は前後の方向に平たく押された形で,その縦軸を横からみると前方へ軽く凸を描いている.柄は上部で最も広く,体と結合する下端へ向かって急に狭くなっている.体は中央部で幅が広くなり,下端では著しく狭くなっている.
柄は胸骨のもっとも厚い部分である.その上縁は3つの切痕を示しており,真中のものは頚切痕Incisura jugularisと名づけられている.また強い外側の切痕は鎖骨と接する部分であるから鎖骨切痕Incisura clavicularisとよばれる.鎖骨切痕にすぐ隣接して,外側縁の上端にザラザラしたくぼみが1つあって,ここは第1肋骨に接着するで第1肋骨切痕Incisura cosalis primaという.次に,柄に外側縁の下端に第2肋骨切痕Incisura costalis secundaがある.しかし第2肋骨に対する切痕の下半分は胸骨体の上部に属している.胸骨結合には関節腔が形成されていることが少なくない.
体は前面は胸骨平面Planum sternaleとよばれ,そこには3本の横走する隆起があって,体がもともと4部分より成り,その間に骨結合が行なわれたことを示している.体の後面は柄の後面と同様に,その形が変化に乏しくて平滑である.体の外側面には各側に,第2から第7までの肋軟骨に対する凹窩が,半分のもの1つと,完全なもの5つがあり,肋骨切痕Incisuae costalesと呼ばれる.第6および第7肋軟骨に対する肋骨切痕はたがいに密接していて,第7肋骨切痕は剣状突起のすぐきわめてあり,またしばしばこの突起によっておぎなわれている.このような場合には第7肋軟骨は,剣状突起の前にいくらか伸びてきているのが普通である.
剣状突起は胸骨の最下部の分節をなし,最も変化に富む部分である.最も単純な形の場合には薄いヘラの形をして,第7肋軟骨の間を下方へ伸びている.しかしフォーク状に分岐していたり,1つの孔で貫かれていたり,前方や後方へ曲がっていたりすることも多い.高年になると,剣状突起は体と骨結合を行う.
変異:まれにはなお胸骨上骨Ossa suprasternaliaという小さい2つの骨が胸骨柄の上縁にのっているのが見られることがある(胸骨上骨は堀,杉山,織田,竹中らの報告を総合すると,出現率10~17%ぐらいであるが,欧米人では6%以下である.竹中,慈恵解剖学業績集第10輯1953).また剣状軟骨に付属して小さい軟骨片がついていることもある.
胸骨の発達の程度は個体によって千変万化である.堂々とした広い板状のものから,ほっそりした貧弱な棒状のものまで,その間にあらゆる段階がある.しかし胸骨の長さは胴の長さがかなりの変異性を示す場合でも,平均値からかけ離れることが殆どない(H. Frey1918).また明瞭な人種差は認められない(Stieve, H. およびHintzsche, E. )が,男の胸骨は幅の狭いことが多く,女のそれは幅の広いことが多いという点で,性差はあると言える(Hintzsche, Verh. anat. Ges.,1925).胸骨の下部には人工的に(たとえば靴職人では靴型の圧迫により)ひきおこされた屈曲の見られることがある.胸骨は部分的に,あるいは全長にわたって左右両部に分裂していることがあり,しばしばみられる剣状突起の孔もこの範疇に属する.胸骨の縦裂すなわち先天性胸骨裂Fissura sterni congenitaも,それより程度のひくいものも,すべて同一の理由によって生じるもので,その理由は胎児期に胸骨が軟骨性の2つの半分からなるという事情と結びつけている.肋軟骨の胸骨への付着は(Markowskiによれば)数多くの非対称を示す.左の肋軟骨の方が右のよりも下方で付着しないで,これに代わる突出部すなわち肋骨突起Processus costalesにつくことも少ない. -von Eggeling, Verh. anat. Ges.,1903 und Festschrift fur E. Haeckel, Jena ,1904.-Stieve, H., und Hintzsche, E., Z. Morph. anthrop., 23. Bd.
胸郭は骨と靱帯との組み合わせできてたものは12個の胸椎,12対の胸肋骨およびその肋軟骨と胸骨,そして複雑な靱帯群である(図201, 202).胸郭は頂部を切り落とした円錐を前後から少し圧平した形をして,内臓を入れる広い場所すなわち胸腔Cavum thoracisをかこんでおり,前後の壁と両側壁,ならびに上下の両口すなわち胸郭上・下口Apertura thoracis cranialis, caudalisが区別される.前壁は後壁より短くて胸骨と肋軟骨でできている.また後壁はそれより長くて胸部脊椎と,肋骨後部の肋骨角までの部分とによってつくられている.そして側壁は肋硬骨の前部からできている.後面には,棘突起が靱帯で結びつけられて縦走の隆起線をなし,さらに横突起の列と肋骨角がみられる.
肋硬骨は左右対称な,上から下に向かって走るラセンの形をなし,その各1対がそれぞれ独自の性格をもっているが,肋軟骨についても,その各1対がそれぞれ固有の形と走り方とを示しているのである(134頁).肋骨の後部は主に外後方に向かって伸び,またほんのわずか下方へ傾いている.そして肋骨角のところから,やっと強く前方へ向かうようになる.その際,同時に肋硬骨が前方へ扇状にひろがる.それで最下の肋骨はほとんど恥骨結合の上縁めがけて伸びている.
肋間隙Spatia intercostalia, Zwischenrippenräumeを胸郭の全長にわたって観察すると,胸郭の上部と下部で,その長さが短く幅が広くなっている.また前方では後部よりも幅が広くて,最も広いのは肋硬骨と肋軟骨との境のところである.
胸郭上口Apertura thoracis cranialisは狭くて,横に長い卵円形(ハート形)で,第1胸椎の体がここに弯入している.左右の第1肋骨と胸骨柄とで境され,前方へ傾いて胸骨平面に続く1つの急斜面上にある.頚切痕を通る水平面は第3胸椎の高さを通る.
胸郭下口Apertura thoracis caudalisは胸郭上口よりもはるかに広く,矢状径も横径もいっそう大きい.胸郭下口は前方では剣状突起と,下方へ凸の1線をえがく各側の肋骨弓Arcus costarum, Rippenbogenとで境されている.肋骨弓は第10・第11肋骨の間と,第11・第12肋骨の間で開かれている.最期に肋骨弓のつづきは第12肋骨の下縁に沿って脊柱にまで達するのである.また両側の肋骨弓は前方で,下方へ向かって開く大きい角をはさんで交わる.胸郭のこの角は肋骨弓角Angulus arcuum costarumとよばれ,その角度は一定しないが,いずれにしてもほぼ直角に近い.この角の中へ,剣状突起が前正中線上を或る長さだけ伸び出している.肋骨下角は第9胸椎の高さにある.
胸郭の内腔すなわち胸腔Cavum thoracisをみると,胸椎の体が並んでつくる正中部のつよい突出がまず目だつ.その左右で肋骨が肋骨角のところまで強く後方へひっこんで,肺溝Lungenfurcheをつくっているために,この突出はいっそう著しい高まりとなって見える.このように脊椎が胸腔の中へ強く張り出していることは,諸器官の重さが少しでも均等に脊椎のまわりに集められるという効果をもつのである.
胸郭の大きさ:胸郭の長さは,前壁がおよそ16~19cm,後壁が27~30cm側壁が32cmである.横径は胸郭上口で9~11cm,左右の第6肋骨間で20~23cm,左右の第12肋骨間で18~20cmである.矢状径は胸郭上口では5~6cm,下口では剣状突起の高さで15~19cmである.
個体差は病的な形を別としても,非常に著しい.性差もまた存在する.女の胸郭は絶対的にも,相対的すなわち胴の長さとの割合からいっても,男の胸郭よりも細い.胸郭の高さについても同じことが言える(Frey 1929).年令差は大きさのことは論外としても,形の上で非常に著しい.すなわち新生児の胸郭の形にはまだ胎児性形態がみとめあれる.つまり新生児では形状径が相対的に非常に優勢で,横径が小さい.また肋骨の下方への傾きがごくわずかで,それゆえほとんど水平に走っていた.胎児の胸郭が左右から圧された形をしていることは,哺乳類の動物の胸郭の形を思いだされる.
これと反対の性状が胸郭の老人性形態で見られる.その特徴とするところは,若い人にくらべて胸部脊椎の弯曲が強いこと,すべての肋骨がいっそうつよく下方へ向かっていること,それによって胸郭の前面がひらたくなり,側方へ幅を増していること,胸骨弓角が狭くなって非常に鋭い角をんすこと,胸郭下口の周径が小さくなっていることなどである.
[図201]男の胸郭(9/20自然の形を保ち肋軟骨を補って組み立てたH. Virchowの標本)
[図202]男の胸郭(9/20同上)
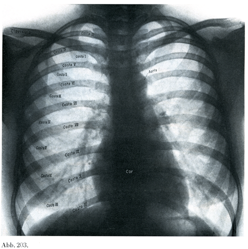
[図203]20才の少女の胸郭のレントゲン像 背腹照射(5/12)
脊椎の椎体の高さは第3頚椎から第5腰椎までに14mmから29mmにまで増し,矢状径は14mmから35mmに,横径は21mmから55mmに増大する(Henle).胸椎の椎体はその前面が後面よりも平均2mm低い.
|
脊柱管の径は; |
脊柱管の横断面は: |
||
|
頚部の前後径 |
14mm, |
第2頚椎で |
3.8cm2 |
|
胸部と腰部の前後径 |
16mm, |
第7頚椎で |
2.9cm2 |
|
頚椎での横径 |
20mm, |
胸部脊柱の中央で |
2.3cm2 |
|
他の脊椎での横径 |
16mm, |
第5腰椎で |
3.2cm2 |
|
第3仙椎で |
0.8cm2 |
新鮮な骨格における脊椎の重さは下表の通り:
7個の頚椎144g,第7頚椎(28),第3頚椎(16),12個の胸椎623g,第12胸椎(84),第2と第3胸椎(34),5個の腰椎526g,第3腰椎(112),第5腰椎(100),平均54g(Dursy)
[図204]20才の男子の胸部脊柱レントゲン写真 腹背照射(6/11).
[図205]18 1/2才の少女の腰部脊柱レントゲン写真 腹背照射(6/11).
[図206]第12胸椎と各腰椎 左からみる(5/9) (自然の間隔と自然の弯曲とを保って組立てたH. Virchowの標本)
[図207]胸部脊柱 左からみる(5/9) (同上)
脊柱を前からみると(図210),椎体が上下にならんでつくる脊柱は,第2頚椎から第1胸椎まで幅を増すことに気がつく.しかし第1胸椎にいたって幅の増加は止まり,それについで第4および第5胸椎にいたるまで椎体が細くなる傾向が,しばしば非常に著明に見られる.そしてここから,また幅が次第にに至まで増大するのである.ところで第1仙椎体の下端はその上端面よりもすでにずっと狭くなっている.さらに下部仙椎に向かって幅はゆるやかに減少し,ついに最期の尾椎では1cmそこそこの幅となって終わるのである.
第2胸椎から第4胸椎までの領域で椎体の幅が減少することは,胸椎の矢状径がそこで増すことによって一応は説明がつくが,なお頚椎下部および胸椎上部では椎体の幅が大であることによっても説明される.それからまた胸郭全体の幅の大きいことが,胸部脊柱の幅の減少を補っていることも考えられる.また幅の増大は上肢の影響によるもので,横へぶら下がっている上肢が筋肉や関節結合によって,ちょうどどこのあたりにとくにとくに負荷をあたえるのである.
脊椎の横突起の両側端の間の距離は環椎では著しく大きいが(平均7cm),軸椎ではずっと小さくなり,以下第1胸椎までふたたび大きくなってゆく.第1胸椎から第12胸椎まで横突起の両端の距離はふたたび漸次小さくなる.そして腰部脊柱においてはその距離は10cm近くにまで増すのである.
脊柱を側方からみると(図209),脊柱の上部から下部へと椎体の矢状径が増大し,その増し方は胸部脊柱において最も強いことに気づく.胸部脊柱の横突起の端はやや後方に向いていて,それらを上下につらねる線は,胸部脊柱の椎体が描いている.なぜなら,中位の脊柱の棘突起下向きに伸びる傾向が強く,屋根瓦状に重なりあうのに対し,上位および下位のものはいっそう真後向きに近く伸びているからである.さらに脊柱にはS状の弯曲が2つあることにも注意せよ.
脊柱を後方からみると(図208),各棘突起は概して正中線上に並んでいるが,それは1つ2つの脊椎が偶発的に列を乱している場合や,脊椎群が全体として一定の様式に従って正中線からそれている場合をまず除外してのはなしである.棘突起によって,尖ったひとつづきの高まり(Grat)ができるので,脊柱のことをドイツ語でまたRückgrat(背中の稜)というのである.ところで,この高まりの両側にはWirbelfurchen(脊柱溝)という溝があり,この溝は底は各椎弓の閉鎖部からなり,外側からは,脊柱の頚部および胸部では横突起によって,また腰部では乳頭突起と副突起によってしきられている.項部ではこの溝は広くて浅いが,さらに下方では深く狭くなり,最も狭いところは第12胸椎のところである.これら2本の長い溝に沿って目を走らせれば,横走する椎間隙Zwischenwirbelspaltenが上下に列をなして並んでいる,その全体を見ることができる.この間隙は軟組織のついた骨格では[椎]弓間靱帯Ligamenta interarcualiaという弾性に富む靱帯でいる.椎間隙が最も大きいのは環椎と後頭骨との間で,次に大きいのは環椎と軸椎の間,3番目に大きいのが第5腰椎と仙骨との間である.そのほかの所では,椎間隙は頚部および上胸部ではほんの狭い幅のものであり,胸部脊柱の下1/3から大きくなり,腰椎に至ってさらに大きさを増す.椎間隙の最期のものは仙骨管裂孔にあらわれている.
椎間孔Foramina intervertebraliaはそれを通る神経や血管と同様に,この孔を作っている2つの脊椎のうち上方ものの番号によって数えられ,また名づけられている.しかし頚部の椎間孔があり,その第1胸椎との間にある椎間孔は別として,椎間孔の番号と名前は下方の脊椎によって示されることになる.第5仙椎と第1尾椎のあいだにある.第1尾椎間孔は第1尾椎の下方にあって,脊柱管を後方と側方で閉鎖する膜の中にある.
成人の脊柱は32~35個の脊椎からなるが,極端な場合にはこれよりさらに1~2個多いこともありうる.
環椎は,病的な現象としてでなく,先天性に後頭骨と融合して頭蓋の一部をなしていることがあり,これを環椎の同化Assimilation des Atlasという.しかしこの様な場合にも軸椎は自分の特等を保っていて,環椎の形をとるというようなことはない.軸椎が環椎に,環椎が第3頚椎になり得るというような移行型は,少なくとも今までのところろその記載をみない.
[図208~210]脊柱 第1尾椎まで(1/4) 図208は後方から,図209は左方から,図210は前方からみたところ.(自然の間隔と自然の弯曲とを保って組み立てたH. Virchowの標本)
独立した肋骨は今までに第7~第21脊椎でみられてきた.そしてどの場合にも,その前部の肋骨が集まって,所属の各脊椎および胸骨と共に胸郭をつくるのである.
胸郭の上端については次の様ないろいろな場合がみられうる:
1. 胸骨に着く肋骨の第1対が第7脊椎に所属する.しかもこの肋骨は全く独立して胸骨に達しているのである.この様な状態は今日までたった1例,アムステルダムでL. Bolkによって見られた.
2. 第7脊椎が1対の肋骨をもっているが,これは胸骨には達しない.胸骨に達する肋骨の第1対は第8脊椎に属している.
3. 胸骨に達する肋骨の第1対が第8脊椎に所属し,第7脊椎には独立した肋骨がない.この状態が圧倒的に高い頻度に見られるために「正常」といえる.
4. 第8脊椎が胸骨に達しない1対の肋骨をもっている.つまり胸骨につく肋骨の第1対は第9脊椎に属する.
第7脊椎の肋骨のできあがった状態が非常に多様なことは,上に述べたそれぞれの例で,この肋骨が胎児期にどの程度にまで発達しただろうかということを考慮し,さらにその後に肋骨がしばしば退化するということを考えに入れれば理解されるのである.そうすると,当然に次の3群があることがわかる:
1. 胎児期に第7脊椎の肋骨が非常に強く発達していることがあって,その前端が第8脊椎の肋骨の前端と合一して胸骨堤Sternalleisteの形成にあずかっている.しかし多くの場合,この肋骨は中ほどの部分が或る長さだけ靱帯に変り,そのためこの肋骨が胸骨部と脊椎部とに分かれる.そうすると,この胸骨部は成人では短い円錐形の骨片となって胸骨の外側縁に密着している.この肋骨脊椎部は1つ下の肋骨の突出した部分と骨結合または関節によって結合していることもある.
2. 第7脊椎の肋骨がそれほど強く発達していないで,その前端が胎児期に第8脊椎の肋骨と合していることがある.この肋骨の原基がそっくり保たれると,その結果として2頭肋骨ともよばれる形が生じる.また第7脊椎の肋骨が関節形成によって第8脊椎の肋骨から区切られていることもある.
3. 第7脊椎の肋骨が比較的小さくて,胎児期に第8脊椎の肋骨と結合していない.この状態はヒトの胎児では非常にしばしば見られるので正常の状態とみることができる.この肋骨が-通常そうであるように-退化すると,第7脊椎の横突起の前部がそれからできるのである.
第8脊椎の肋骨が退化する場合にも,第7脊椎の肋骨の退化の場合と同様の諸形があらわれる.
第7脊椎の肋骨が独立していることは決してしばしば見られるものではないが,第8脊椎の肋骨が退化していることは,それよりはるかに稀である.
胸骨の体と柄との区切りの位置は,第8,第9,あるいは第10脊椎のいずれの肋骨の付着するところに来ることもありうる.これらの変異は胸郭の上界の変異に左右される.最上部の肋骨が非対称に発達している場合には胸骨の柄と体への区分は起こっていないのが普通である.
胸骨体と結合する肋骨のうちで最下位のものは第13第14,あるいは第15の脊椎に所属する.このさまざまな状態はすべての胸郭の上界が「正常」なときにも起こりうるもので,それにつれて胸骨に付着する肋骨が6対,7対あるいは8対存在することになる.第13脊椎の肋骨が,胸骨に達する最下位の肋骨であるということはごく稀である.この点について検べられた83屍体のうちで,上に述べた状態はわずかに1体に,しかもその1側で見いだされただけであった.胸骨に付着する肋骨が7対(最下対は第14脊椎に)のことは全例の約92%に認められる.また胸椎に付着する肋骨が8対のことは全例の約7%である. E. Rosenbergの記載した1例の新生児では,第16脊椎の右肋骨が胸骨と直接に結合し,そのかわり第8脊椎の肋骨は胸骨に達していなかった.
第17脊椎の肋骨は浮遊肋骨をなすことが断然多く,それ以下の肋骨はほとんど常にそうである.
独立した肋骨の最下位のものは第18,第19,第20,あるいは第21の脊椎に付属しうる.肋骨をもつ最期の脊椎のが第18脊椎であることは稀にしかない.これに対して第19脊椎のことは全例の約92%に認められ,それゆえにこれが正常といえる.また第20脊椎が最期の肋骨をもつことは全例の約8%で,これに対し第21脊椎がそれである場合はごく稀である.
胸郭の下界がこの様にさまざまな状態を示すのに関連して,これに関与する肋骨の長さもまた,もちろん非常に高度な多様性を示す.
肋骨をつけている最下位の脊椎と,腸骨と関節をつくる最上位の脊椎との間に存在する腰椎の数4, 5あるいは6個である.
屍体をおよそ12体しらべることに,腰椎が4個しかないという例を見出すことを期待できる.たいてい腰椎は5個あって,6個のことはごく稀である.第19,第20,第21あるいは第22脊椎が第1腰椎となりうるし,第23,第24,第25,あるいは第26の脊椎が最後の腰椎となりうるのである.仙骨は4, 5, あるいは6個の脊椎からなる.仙椎が4つしかないことはごく稀で,5つのことが普通であるが,6つのこともしばしばである.第1仙椎となりうるのは第24,第25,第26あるいは第27の脊椎である.そのさい,仙骨の弯曲が単純なこともあるが,また第1仙椎体が第2仙椎体と合するところに前下方へ突出する角をつくり,第2の岬角すなわち重複岬角doppeltes Promunturiumをなしていることもある.仙骨の弯曲が単一で,しかも第24脊椎が第1仙椎となっている例は非常に稀である.しかし重複岬角の場合は,第24脊椎が第1仙椎となっていることがそう稀なものではなく,この状態は全例のの約3%に見られるのである.仙骨の弯曲が単一であって,第25脊椎が第1仙椎となることは全例の約85%にある.この状態は圧倒的に多数の例に見られるために正常と考えられる.重複岬角において第25脊椎が第1仙椎をなすことは,わりあい頻度が高く,全例の約8%である.仙骨の弯曲が単一で,第26脊椎が第1仙椎をなすことはふたたび少なくなり,全例の約4%である.重複岬角で,第26脊椎が第1仙椎となることもごく稀である.
普通の状態としては,すべての仙椎は骨結合によってたがいに結合しているが,例外として,下肢帯と関節結合している第1仙椎が,完全に分離していることがある.この第1仙椎の横突起は耳状面の形成にあずかってはいるが,残りの外側部とは靱帯群によって結合しているにもすぎない,また関節と椎間円板とは第1および第2仙椎間で完全に保たれているけれども,その椎間円板はなんといっても薄い.このような仙骨では岬角は常に重複している.上方の岬角はいわゆる「高位hochstehend」のもので,ほとんど耳状面をぬきんでていない.
仙骨の弯曲が単一な場合にも高位や低位の岬角をもつ極端な形が区別される.仙骨のいろいろな形が,下肢帯は上方へ移動することによって生じると考えると(Rosenberngが示したようにこの移動は胎児において実際に起こるのであるが),低位の岬角というのは,耳状面が1つ上位の脊椎へ,まさに足を踏み入れようとしている時期にできたものにちがいない.耳状面が1つ上の脊椎へ足を踏み入れてしまうと重複岬角をもつ仙骨がつくられ,上方の岬角は高位に位置することになる.耳状面がさらに押し進むと第1・第2仙椎間の角がなされて,仙骨弯曲は単一となって,この状態ではなお高位の岬角をもつ.しかしさらにいっそう耳状面が移動すると,岬角は1度中間位をとった後,ふたたび低位となることもありうる.ところで,この上方へ向かって進む仙骨の形成がどのくらいの範囲に起こるかのちがいによって,最初の原基は同じでも,仙骨のさまざまの形が作り出されうるとはいえ,やはり胎児の原基にすでに個体差があるという考えから離れるわけにはいかない.
仙骨の上界も,いわゆる腰仙移行椎lumbosakraler Übergangswirbelが存在すると,左右非対称を示すことがある.この移行椎の横突起の1つの方は腰椎型で,もう1つの方は下肢体と関節結合しているのである.そして仙骨型の横突起の方は,残りの外側部と結合組織結合または骨結合をしている.岬角はこのような場合には常に重複している.
最後の仙椎とみなされるべきものは,その横突起が外側部の形成にあずかる最後のものでなければならない.第28, 29, 30, 31の脊椎がこの資格をそなえるものとされている.
脊椎が1個でしか外側部の形成にあずからない場合には仙尾移行椎sakrokaudaler Übergangswirbelとよばれる.最後の仙椎の椎体と椎弓痕跡とが,1つ上の脊椎のそれらの部分と骨結節でくっついているとは限らない.しかしまた第1尾椎の椎体と椎弓切痕とが仙骨と骨結合をしていることもある.Rosenbergによって記載された1例では,第1と第2の尾椎(第32および33脊椎であった)に至ってもなお,その椎弓痕跡が右側で骨結合によってたがいにつながっていた.
脊柱のいろいろな部位の変異は,いままでに述べたことからもわかるように,たがいに一定の相関関係ををなしている.胸郭の下部,脊柱の腰部,仙骨,尾骨では,この相関関係が非常にはっきりしている.胸郭の下端が短縮すると,腰椎と仙椎の境界も,仙椎と尾椎の境界も上方へずれていることが普通である.これに反して,胸郭の下端が正常の範囲を超えて延長しているときには,仙骨の上界と下界も下方へずれていることが常である.
これらの変異をヒトの胎児における所見や,さらに猿類(Affen)や半猿類(Halbaffen)における所見と比較することによって,Rosenbergは次の考えに達した.すなわち下方へ伸びている胸郭や,下方に位置のずれている仙骨は先祖型atavistische Formenであり,短縮した胸郭や,上方に位置のずれている仙骨は未来型Zukunftformenだというのである.
胸骨肋と弓肋とのあいだの境界は,胸椎と腰椎の境界と同じ方向にずれるのを常とする.発生学的なっことを考慮に入れ,さらにサルをひきあいに出すことによって,ここにも同様に先祖型と未来型とが区別されている.すなわち第15脊椎の肋骨がなお胸骨に達する場合は,祖先型と見てよい.また最後の胸骨肋が第13脊椎に所属するときには,未来型なのである.
Rosenbergはさらにヒトの胸郭の上端に現われる変異をも同様の観点から解明しようとした.多くの下等脊椎動物では環椎に続くすべての脊椎が独立した肋骨をつけている.ヒトでは胎児のときに第7脊椎にはほとんど常に,第6脊椎にも時として独立した肋骨がついている.それでヒトでは個体発生の途上に,胸郭の上端部で退化的な変化がおこるわけである.そこでRosenbergはこう考えている.つまり頚椎と胸椎の境界は事実下方へずれようとする傾向をもち,従って第7脊椎の肋骨は祖先型であり,第8脊椎の肋骨が退化するのは未来型であるというのである.
これに対して最も強調されるべきことは,胸郭の上端と下端の変異のあいだに全く疑いの余地のない相関関係が,しかも同じ傾向の相関関係が存在するということであって,胸郭の上端も下端も,仙骨の上下端も,みな同じ方向にずれる傾向をもつのである.脊椎の変形について理論的に論じる時には,いつもこのことを考えておる必要がある.
(以上H. Adolphi)
H. Freyは脊柱の変異について彼女が得られたいろいろな知見を,次のようにまとめている(Morph. Jhrb., 62. Bd.,1929).「総合的に見て150例中68.5%が統計学的に正常(7:12:5:5-すなわち尾骨は問題にしていない)である.その他の31.5%のものは分節の数が31, 30, 29または28であって,13型に分けられる.そしてこれらの変形の大部分が仙骨の部分に現われるのであって,これに反して可動椎の部分では,正常からはなれているものは10%しかないのである.このことは他のいろいろな人種でも見られている.正常からの逸脱は男女両性で頻度は変わらないけれども,分節の数が男ではどちらかといえば増し,女では非常に明らかに減ずるという傾向がある(日本人の脊柱を欧米人のものと比較した古典的業績として長谷部言人,Die Wirbelsäule d. Japaner, Zeitschr. f. Morph. u. anthrop., Bd 15, Hft 2,1912がある).」
Heidsieck (Z. Anat. Entw., 76. Bd.,1925)は環椎の同化とともに後頭椎の顕現(150頁参照)の微候のみられる1例を報告し,さらに他の2例をAnat. Anz., Bd. 72. Bd.,1931に期している.-H. Frey (Vierteljahrsschrift Naturforsch. Ges. Zürich, 63. Jhrg.,1918)はヒトの胸郭の変形過程の標識となるいろいろな特徴の従属関係を強調している.その出発点は脊柱の短縮である.腰椎と仙骨の境界の移動が原因となって,最下肋骨が次第に退化し,ついに完全に消失するに至って,胸椎と腰椎の境界がずれるという現象をひきおこす.肋骨弓の変化に富む構成もこれと深いつながりをもつのである.胸郭の全体的な高さと胸郭の高さと胸骨とはいつも他から影響を受けることがない.胸郭の高さは,肋骨をもつ脊椎の数が減っている場合には,1つ1つの脊椎の高さが代償的に増しているために,代わらないのである.それであるから,ヒトの胸郭においては,短縮という言葉よりも変形Umformungという言葉を使うべきである.-ところでH. Stieve (Z. Anat. Entw., 60. Bd.,1921)は,脊椎,肋骨,および胸郭全体の左右の非対称を研究し,それに基づいて次の結論に達した.これらの器官がいろんな風に逸脱して形成されていることは,すでに個体の原基において見られるのが常であって,生体の変異性のほんの1つのあらわれにすぎないというのである.それは進歩的あるいは退化的な発生の過程ということで理論づけ得るものではない.変異はそれ自体として先天的なもので,多少の特性は外部の要因によって部分的に影響をうけるとはいっても,胚のときに定められた一定の限界の中で変化を受けるだけである.-この見解に対してAichel, Rosenberg, およびFrey (morph. Jhrb., 62. Bd.,1929)が反対している.Freyによれば,変異は1つとして偶発的なものはなくて,その現われ方は法則的であって,系統発生の過程を示すものであるという.変異の原因が何であるかは知ることは,まだ成功していない.-Aichei., Verh. anat. Ges.1922.-Rosenberg, Emil, Anat. Anz., 59. Bd.,1925.
最終更新日 13/02/03