Rauber-Kopsch解剖学
歴史的な偉大な解剖学書
HOME
目次
緒言総論
骨格系
筋系
脈管系
内臓学
神経系
感覚器
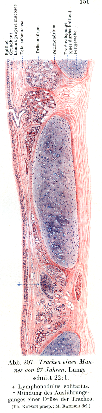
Rauber Kopsch Band2. Abb-207
[図207]
気管
27才の男 縦断×22
†孤立リンパ小節
*気管腺の導管の開口
最終更新日13/02/03
ページのトップへ戻る