A11_1_00_001

下垂体Pituitary gland; Hypophysis(Hypophysis; Glandula pituitaria)

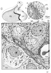
下垂体【かすいたい】 Gland located in the sella turcica.(下垂体は間脳の視床下部から下方に突出する漏斗に連なる内分泌腺である。蝶形骨のトルコ鞍の下垂体窩に位置する無対の小器官で、大きさは前後径約0.5cmで、重さは男性約0.5g、女性ではそれよりやや重い。このような小さい器官であるが、10種類近くのホルモンを分泌し、全身のいろいろな器官の働きを調節している。下垂体は2種のまったく異なった由来をもつ組織が結合してできたもので、腺下垂体と神経下垂体とよばれる。前者は胎児の咽頭上壁が上方に膨出Rathke嚢から生じ、後者は第三脳室の底部である漏斗が下方に伸びだして生じたものであり、両者は厳密に結合している。一般に腺下垂体を前葉、神経下垂体を後葉と呼んでいる。Hypophysisは、「~の下に」を意味するギリシャ語の接頭詞hypoに、「成長する」という意味のギリシャ語phyeinを付けたもので、「下に向かって成長したもの」という意味である。)

Spalteholz

実習人体解剖図譜(浦 良治)

小解剖学図譜

人体局所解剖図譜 I巻

人体局所解剖図譜 IV巻

Moore人体発生学

02-3.女性の生殖周期

18-4.脳の発生

Rauber Kopsch

Band2(345; 409; 563)

Eduard Pernkopf

岡島解剖学

Pocket atlas of human anatomy

現代の組織学 421

R.V. Krstić組織篇

R.V. Krstić(HMA)

ネッター解剖学図譜

ネッターFlash cards

Netter's Anatomy Flash cards(01-81)

 

ページのトップへ戻る