メニューのAnatomyはBook & Atlasにリンクしてあります。



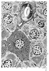
上皮小体;副甲状腺【じょうひしょうたい;ふくこうじょうせん】 Small mass of epithelial cells. The parathyroid glands are located posterior to the thyroid gland between the two layers of the fibrous capsule. They secrete parathyroid hormone, which regulates calcium and phosphorus levels by means of osteoclast stimulation.(上皮小体は小さな2対の内分泌腺である上上皮小体および下上皮小体からなり、ほぼ米粒大(径3~6mm)、卵形の内分泌腺で甲状腺に近接する。哺乳類では、通常上下2対計4個の腺体があり、甲状腺の後表面に1対ずつ存在するが、まれには5個ないし6個の上皮小体をもつ人もいる。上皮小体は血清のカルシウムとリン酸の濃度を上皮小体ホルモンparathryoid hormone(parathrmone, PTH)を介して調節するする。上皮小体の発生学的起源は第三および第四鰓弓(咽頭嚢)である。)
Band2(170)