歴史的な偉大な解剖学書

呼吸Respiration, Atmungとは生きている動物が酸素を取り入れ,炭素ガスを送り出すことである.この働きに関与している器官を呼吸器Respirationsorgane, Atmungsorganeという.
多くの下等動物は呼吸器というものを特にもたないで,そのかわりに体ぜんたいで呼吸している.たとえばアメーバがそうである.このようなものが呼吸の第1の形で体呼吸Körperatmungという.後生動物Metazoenの大部分は皮膚全体で呼吸している.これを皮膚呼吸Hautatmungといい,それに対して腸呼吸Darmatmungもやはり広い範囲にみられる形である.動物体がもっと高等になると特別な呼吸器が現われてくる.このばあいでも皮膚呼吸と腸呼吸が大きな役割を演じていることがある.特別な器官を備えた呼吸の1つの形として鰓呼吸Kiemenatmungがある.また第2の形として水肺Wasserlungeによる呼吸がある.第3には空気肺Luftlungeによるものがあり,第4には気管系Tracheensystemeによる呼吸がある.
鰓Kiemenは皮膚または粘膜の表面が広がってもり上つてできた繊細なもので,いろいろな形をしていて,血管が豊富に分布している.鰓は体から露出しているか,あるいは鰓腔Kiemenhöhleという体内の場所に閉じこめられている.この鰓鰓が外界とつながっている.普通は特別な装置があって,この鰓所の水流を適当に調節している.
水肺Wasserlungenは袋の形をした器官で,そのなかには筋の働きによってポソプのように水が送りこまれ,また送りだされる.この袋の壁にある血管が呼吸にあずかっている.空気肺Luftlungenのもっとも簡単な形はやはり血管の豊富な膜状の袋で,その袋の中では水肺で水がつとめていた役目を外界の空気が果している.この袋にはひだがあって単純な,あるいは複雑な凹凸をしめしていることがあり,そのために呼吸面が著しく大きくなっている.気管系Tracheensorstemeは昆虫やその他の節足動物にみられるもので,ひじょうに多くの枝分れをした空気の通ずる管からなっていて,その幹は体の表面のいろいろなところで外界とつづいている.管は次第に顕微鏡的な細い枝に分れ,おびただしい数になって組織を貫いて諸細胞に空気を直接に導き,その生活に必要な酸素をあたえている.つまり呼吸には体呼吸,皮膚呼吸,腸呼吸,鰓呼吸,水肺呼吸,空気肺呼吸,気管呼吸という区別がある.血管系が存在する動物では,血管系の形成が呼吸器の形によってはなはだ大きい影響を受けることが当然予期されるのである.
血液はこの場合には栄養を司どる機能のほかに外界の空気または水とのガス交換のなかだちをしている.
血液は呼吸器を通じて外界の空気または水と接触し,Oをとり入れてCO2を送り出し,鮮紅色の動脈血となる.動脈血は体の諸組織に導かれて,これにOをあたえCO2を受けとり,暗赤色の静脈血となる.前の方の現象が外呼吸であり,後の方のが内呼吸である.
人間は空気肺による呼吸をおこなっている.しかしひじょうに興味があるのは胎児の発生にさいして,まず体呼吸と皮膚呼吸とが行われ,その後に完全な形の鰓弓Kiemenbögenの装置が現われるが,しかし鰓じしんも鰓呼吸も認められないのである.そのかわり胎児では胎盤呼吸Placentaratmungという特別な形の呼吸が行われる.これは局部的に高度に発達した腸呼吸とみてよいものである.肺は腸管系に由来するものであるから,肺呼吸も広義の腸呼吸に含まれるもので,腸の一部が特別な形となって呼吸作用にあずかつたものなのである.
空気を呼吸する動物の呼吸器は広い範囲において,いま1つの重要な機能,すなわち発声Lautbildungという仕事もしている.発声器官はその発達度にいろいろの違いがあるが,薄い膜,あるいは皮膚のしわといった形をして呼吸器にくっついており,いろいろな場所(たいていは呼吸道の初まりのところに)存在している.ここで作られる音声が驚き,さそい,了解の手段として役だつのである 特に人間ではこれがよく発達していて言語の基となっている.
呼吸器系はよく動くことのできる胸腔のなかにある左右の肺,それに気管および喉頭からなりたっている.喉頭の上口は咽頭の前壁に開いていて,咽頭を通じて口腔および左右の鼻腔とつながっている.そして口腔や鼻腔が体の表面に開く口をもっている(図84).鼻腔・口腔・咽頭を上気道と呼ぶが,これらは空気を導くほかに,なお重要な機能をもっていることを忘れてはならない.
筋の働きで胸腔が広げられると,外気は広がりつつある肺のなかに流れこみ,肺は胸腔の壁に密接したままである.この吸気Einatmung, Inspirationの過程に続いて,呼気Ausatmung, Exspirationが起り,CO2と水蒸気に富む空気がふたたび追い出されるのである.なおまた,呼吸は一定のぐあいに,心臓への静脈血の流れに影響をあたえている.肺は胸腔において漿膜,つまり左右の胸膜のなかにあるためにその運動が容易にできるのである.
気管・喉頭・咽頭・鼻腔は本来の呼吸器官である肺への往復路であるが,その上に喉頭は特別な発声器官となっているし,また鼻腔の壁の一部は感覚器の1つである嗅覚器となっている.
上気道は外鼻を含めた鼻腔・口腔・咽頭である.口腔と咽頭はすでに消化器系のところで取り扱つたから,ここでは外鼻と鼻腔について述べる. 鼻腔にある嗅覚器については感覚器のところで述べる.
外鼻は次のものからなっている.
1. 一部は軟骨性,一部は骨性の骨組み;2. 筋;3. 外皮;4.外皮の一部が内部へ続いたもの.
これらのものからできている顔面の突出部であって,その形は人によってきわめてまちまちであるが,基本形は不正三角錐であるといえる.これがもつ面のうち3つすなわち外鼻孔で貫かれている下面と,両側面は遊離している.しかし外鼻は基底面または固着面をもって顔面に根を下している.両側面は正中面に向かって集まり,そこで円みをおびた稜をなして合している.この部分を鼻背Dorsum nasi, Nasenrückenという.
[図180]鼻軟骨 下からみる(1/1)
青は軟骨.
[図181]鼻軟骨 側方からみる(1/1)
青は軟骨.
上端,つまり鼻が前額につながるところを鼻根Radix nasi, Nasenwurzelという.鼻背の下端は鼻の下面と合しており,そこを鼻尖Apex nasi, Nasenspitzeという.両側面の下部はかなり強く突出していて,動かすことができる.この部分が鼻翼Alae nasi, Nasenflügelである.1本の浅い溝が鼻翼と側壁の動かない部分との境界をなしている.外鼻の下面は三角形をしていてその側方は鼻翼で境されている.下面の中央部は鼻中隔の皮部Pars cutaneaとなっている.これは鼻翼とともに左右の外鼻孔Nares, Nasenlöcherを境している.外鼻孔は長円形で広げたり狭ばめたりできる.
鼻の左右の各半は非対称にできている場合が少くなくて,ゆがんでいるSchiefstellungこともしばしばである.
外鼻は強大な歯と小さな脳をもっている哺乳動物には見られない.初めて外鼻が現われるのは類人猿である.原始人と未開人種は低い鼻をもっている.高度の精神生活を営なむ人種はその高く突きでだ鼻によって特徴づけられる.
[図182]鼻腔(左)鼻中隔を除去して開いたところ(9/10).
中鼻甲介と下鼻甲介は起始の近くで切断してある.蝶形骨洞の中隔は大部分を取り除いてある. I. 鼻涙管に入れたゾンデ,II. 前頭漏斗と前頭洞に入れたゾンデ,III. 篩骨漏斗に入れたゾンデ,IV. 蝶形骨洞に入れたゾンデ.
鼻の骨組みは軟骨の部分と骨の部分とからできている.骨の部分はすでに骨学のところで観察したから,ここでは軟骨の部分だげを調べることにする.
鼻の軟骨性の土台は次のものからなっている.
a)中隔鼻背軟骨Cartilago septodorsalis.
b)左右の鼻尖軟骨Cartilagines aplcis nasi.
c)副鼻軟骨Cartilagines nasales accessoriae(かなり多数あり,その数は不定).
d)鋤鼻軟骨Cartilago vomeronasalls.
a)中隔鼻背軟骨Cartilago septodorsalis(第1巻,図226)はその中隔板Lamina septiをもって筋骨の正中板と鋤骨とがたがいに作る角のなかにはまりこんでいる.この軟骨の後上縁は正中板に接し,後下縁は鋤骨の前縁と上顎骨の鼻稜のもつ溝のなかにはいっている.前上縁は初めは鼻骨間縫合で被われているが,その後は何者にも被われずに前下方へのびて鼻尖軟骨の所にいたる.前下縁は中隔の皮部に接しており.容易に外から触れることができる.前方の角と上方の角はほぼ直角で,下方の角は鈍角をなし,後方の角は鋭角である.
後方の角からはたいてい1つの突起が後上方に伸びて正中板の下縁に伴ない,また鋤骨にもはまっていて,蝶形骨まで達していることがある.この突起を蝶形骨突起Processus sphenoideus という.
鼻中隔は成人においては正確にまっすぐであるのはまれで,一方に曲がっていることがしばしばで,それも右に曲がっていることがいっそう多い.この曲りには軟骨部も骨部も関与し得る.弯曲は通常は7才以後にはじまる. また骨部が突出を示すこともまれでなく,鋤骨と籠骨との縫合の所からおこる骨稜による高まりがその例である.
中隔鼻背軟骨の側方部は鼻背板Laminae dorsi nasiといい,3角形の板である.これはこの軟骨の前縁から出て後方に向い,その後縁が梨状口の上部に達し,その少し下に入りこんでいる.鼻背板の下縁は結合組織の束によって鼻尖軟骨とつながる.またその前縁は弓形をなして中隔板に移行している.下部だけはその間に裂目があって中隔板から離れている.
b)鼻尖軟骨Cartilago apicis nasi(図180,181)はその名前から考えると,鼻尖にだけあるようにみえるが,そうでない.左右とも2本の脚からなっていて,両脚がたがいに円みをおびた角を作ってつながり合っている.これらの脚が外鼻孔の前部の大部分をとりまき,この孔の形を決定する.外側脚Crus lateraleは上顎骨から鼻尖にいたり,鼻尖で内側に曲り,いっそう小さいところの内側脚Crus medialeに移行している.内側脚は外鼻孔の内側の境界をなしている細い留金のような軟骨で,鼻中隔の皮部のなかに消えている.鼻中隔の軟骨部の一部を内側脚がなしている.外側脚の後部の上縁と下縁にはいつも切れこみがあり,ときには完全に切れてしまっている.このような場合にはこれを
c)副鼻軟骨Cartilagines nasales accessoriaeといい,3つあるのが普通で,鼻翼の後部に存在する.
外側脚の下部のうち鼻翼に達している部分を外側脚翼突起Processus alaris cruris lateralisという.鼻尖軟骨の上縁から細長い軟骨片Längsspangenがたち切られていることがある.
d)鋤鼻軟骨Cartilago vomeronasalisは細くて薄い軟骨で,前鼻棘のすぐ後方で中隔板に接しており鋤鼻器に関係している(130,132頁を参照のこと).
なお最後に鼻底軟骨Cartilagines basalesについて述べる.これは小板状の軟骨でいろいろな形と大きさをしている.前鼻棘のところにあり,ここから中隔板の下縁に沿ってこれと鋤骨のあいだを後方に伸びている.
筋学のところで記載した.第1巻403頁.
鼻背の骨と軟骨の上を被う皮膚は薄くて容易に動かされ,皮下組織に脂肪をもたない.鼻翼の皮膚はそれより厚くて,その下にあるものと固く着いている.
鼻の皮膚には汗腺と多数の大きな脂腺がみられる.脂腺はすでに新生児においてよく発達している.脂腺の太い導管の壁には小さい毛包があって,これが腺の付属物のようにみえる.皮下組織には脂肪細胞がわずかしか存在しない.
鼻腔のところでいっしょに述べる.133頁参照.
鋤鼻器(ヤコブソン器官)Organon vomeronasale(Jacobsoni)は人では痕跡器官である.これは切歯管Ductus incisivi,および硬口蓋の切歯乳頭Papilla incisivaと密接な関係にある.
切歯管(右と左の)は骨の切歯管Canalis incisivusを通って鼻腔底から口蓋に達する.切歯管が通過可能であることは例外的であって,そのときは切歯乳頭に開口している.切歯乳頭には成人において大麦の粒,ないし扁豆の形をした軟骨の核があることがまれでない.乳頭の基礎をなしている結合組織には多数の神経の枝や血管があり,また触覚小体がみられる Peter, K., Anat. Anz., 46. Bd.,1914.
人のヤコブソン器官Jacobsonisches Organは短い行きづまりの管で,中隔板の前下端のそばで各側ともごく小さい1つの開口をもってはじまり,中隔板に沿って後方にのびる.管の外側壁には鼻腔の呼吸部の上皮が続き,内側壁には嗅部によく似た上皮がある.詳細についてはさらに132頁と感覚器の項を参照されたい.
鼻粘膜の小部分は嗅覚器に属するので,その粘膜は本質的に異なる2つの部分,すなわち呼吸部Regio resplratorlaと嗅部Reglo olfactorlaからできている.
鼻腔には主三鼻腔が2つと,それに副鼻腔が付属している.
鼻腔は右と左にあり,鼻中隔Septum nasi, Nasenscheidewandがその互いの境となっている.したがって鼻中隔は左右の註鼻腔の内側壁でもある.鼻中隔には骨部Pars osseaと軟骨部Pars cartilaginea,および皮部Pars cutaneaが区別される.鼻腔の上壁は篩板の下面と蝶形骨の下面とを被う粘膜からできている.下壁は硬口蓋と軟口蓋の上面の粘膜で区切られている.また前壁は外鼻の屋根のところにあたっており,その下面には外鼻孔Nares, Nasenlocherがある.後壁の上部は蝶形骨体の前壁からなり,下部は開いていて後鼻孔Choanaがある.鼻甲介と副鼻腔の存在によって外側壁は特別な形を数多く示している(図82).
左右の主鼻腔の前下部を鼻前庭Vestibulum nasi, Vorhofといい,ここは可動性である鼻翼の内側になっている.この動かしうる鼻前庭において皮膚が粘膜に移行する.外側壁に鼻限Limen nasiという強い隆起があって,前庭と鼻腔内部との境をなしている.外鼻孔をかこむ下部,特にその外側壁には(また内側壁にも)鼻毛Vibrlssaeという短くてかたい毛が生えていて,格子のようになって入ロを守り,異物が進入するのを防いでいる(図82).
外側壁(図82)には下鼻[甲]介,中鼻[甲]介,上鼻[甲]介Concha nasalls inferior, media, superiorという3つの鼻甲介が上下に並び,またいくらか前後の方向にもなっている.なおそのほかに新生児では常に,成人ではそれよりまれに最上鼻[甲]介Concha nasalls supremaがみられる.
上鼻甲介と中鼻甲介のあいだに上鼻道Meatus nasi superiorがある.中鼻甲介と下鼻甲介および鼻腔の外側壁とのあいだを中鼻道Meatus nasi mediusといい,その前方に中鼻道前房Atnum meatus nasl medi1がある.また下鼻甲介の下方と側方を占めるのが下鼻道Meatus nasi inferiorである.
[図183]甲状軟骨Cartllago thyreoldes 男,左側からみる(9/10).
[図184]甲状軟骨 男,前方からみる(9/10).
[図185]輪状軟骨Cartilago cricoidesと披裂軟骨Cartllago arytaenoides 男,前方からみる(9/10).
[図186]輪状軟骨と披裂軟骨 男,後方からみる(9/10).
[図187]輪状軟骨と披裂軟骨 男,左側からみる(9/10)
[図188]喉頭蓋軟骨Cartilago epiglottidis 男,後面(9/10).
鼻甲介と鼻中隔のあいだの空所を総鼻道Meatus nasl communlsという.これら4つの鼻道および蝶篩陥凹は後方で鼻咽道Meatus nasopharyngicusにひらいている.
蝶形骨体の前壁と下鼻甲介のあいだにはきわめてさまざまな深さをもった蝶節陥凹Recessus sphenoethmoideusがあり,そこに後方から蝶形骨洞Sinus sphenoideusが粘膜で包まれた多くのばあい小さい穴(蝶形骨洞口Apertura slnus sphenoidei)をもって開いている.上鼻道にはその天井のところに後飾骨洞がたいてい1つか2つの開口部をもって開いている(図182).
中鼻甲介から1つのたかまりが前上方に出て,鼻背と平行に前下方にすすみ,次第に低くなって消失する.このたかまりを鼻堤Agger nasiという.鼻の天井と鼻堤とのあいだに篩板に向かって上行する溝があって,これを嗅溝Sulcus olfactoriusという.
中鼻甲介を取り除くと,ツバメの巣のような形で上方に開いている節骨胞Bulla ethomoidea(図182)が認められる.その大きさは人によってきわめてさまざまである.またその壁に平行してやはり粘膜で包まれた鈎状突起の自由縁が走っている.篩骨胞と鈎状突起のあいだに半月裂孔Hiatus semllunarisがあり,ここは篩骨漏斗Infundibulum ethmoideum という短いロート状の管の上方の開口部となっている.また篩骨漏斗の下方の開口部は上顎洞裂孔Hiatus sinus maxillaris といい,上顎洞の開くところである.前頭洞は前上方から(半数例において)篩骨漏斗かあるいは半月裂孔に開いている.
残りの半数例では独立して中鼻甲介の付着する線の前部の下方に開口している.
中鼻道にはそのほか前篩骨洞も開口し,またその後部には若干の例においてこれもやはり上顎洞に通ずる副上顎孔Foramen maxillare accessoriumがみられる.
副上顎孔はや供や若い人には存在しない.もっと後になってからできてくる.
下鼻道の前部には鼻涙管が下鼻甲介によって内側から被われる所で開口している(視覚器参照).
鼻腔の外側壁で咽頭との境には上方にゆくにつれて強くなる後鼻孔弓Choanenbogen というひだがある(図182).
耳管咽頭口Ostium pharyngicum tubaeは下鼻甲介を後方に延長したところにある.耳管咽頭口と中および下の両鼻甲介の後端とのあいだに下鼻道につづく鼻咽道Meatus nasopharynglcusという空所がある これは前後の方向には5~7mmしかないが,高さは25 mmである(図82,182).
外鼻孔から2cm奥の鼻腔底で鼻中隔に密接したところに切歯管の上端がある.切歯管は成人においては行きづまりになっていて口腔まで達しないのが普通である(図82).
この開口部の後方に縦の隆起があり,小さな鋤鼻軟骨(Jacobsonscher Knorpel)をもっている.この隆起は全く鼻中隔に属している.その前端のすぐ上方に小さいが注目すべぎ管(ルイシュ管Ruyschscher Gang)が開口している.この管は軟骨に密接して後上方にすすみ,2~9cmの経過の後に盲状に終るかあるいは2本の枝に分かれてやはり行ぎづまりになっている.Sömmeringがこの管をすでに認めていた.これはいろいろなな哺乳動物においてよく発達しているヤコブソン器官または鋤鼻器(Jacobson)の遺残である.
副鼻腔は遅く発生し,盲嚢状で骨壁に囲まれており,鼻腔に付属していて,薄い粘膜で被われている.上に述べた副鼻腔の開口部はもともと副鼻腔ができるさいに粘膜が落ちこんだところである.副鼻腔には上顎洞Sinus maxillarls, Oberkieferhöhle,蝶形骨洞Sinus sphenoideus, Keilbeznhöhle,前頭洞Sinus frontahs, Stzrnhöhle,および多数の篩骨洞Sinus ethmoidei, Siebbeinzellenがある.
鼻前庭を被うものは外皮によく似た構造を示している.すなわち血管を有する乳頭と重層扁平上皮があり,また鼻毛とそれにともなう多数の脂腺がある.そのほか汗腺もあって,これが(Alverdes1932によると)毛包に開口しており,アポクリン腺に属するものである.扁平上度は下鼻甲介の前端と下鼻道の前部にも伸びている.呼吸部の粘膜は乳頭をもたず,多列円柱線毛上皮で被われている.血液を含まない状態でも粘膜の厚さが4mmに達していることがある.結合組織の部分はリンパ性組織の性質を帯びて孤立リンパ小節を有している 常に遊走細胞が上皮をへて鼻腔に遊出しているのがみられる.上皮との境で粘膜は密になって丈夫で一様な基礎膜をなしている.この膜は嗅部との境のところで薄くなって終る.静脈は特によく発達し,下鼻甲介では鼻[甲]介海綿叢Plexus cavernosi concharumという著しい網をつくり,そのためにここは海綿組織に似た構造を示している.さらに粘膜は上皮性の腺にはなはだ富んでいる.上皮性の腺としてはまず杯細胞をあげなくてはならない.また鼻腺Glandulae nasalesは分枝管状胞状腺であって,その数はきわめて多い.Stöhrによるとこの腺は粘液と漿液とを分泌するというが,それに対してSchiefferdeckerとMazlarskiは粘液しか分泌しないといっている.導管の初まりのところは線毛上皮で被われている.下鼻甲介には1qcmあたり100~150個の鼻腺があることが珍しくない(Sappey).これらすべての腺は鼻粘液を分泌し鼻粘膜をうるおしている.-嗅部の構造については感覚器の項を参照されたい.
副鼻腔の粘膜はごく薄い.その結合組織の部分は骨膜と合して約0.02mmの厚さの1層を作っている.上皮も丈が低くて,たいていのところでは扁平な線毛上皮である.腺はないわけではないが,数が主鼻腔にくらべてはるかに少なく,またいっそう簡単な形をしている.
鼻腔はひじょうに豊富な血管の供給を受けている.鼻腔の外側壁の前方は前篩骨動脈の枝を,それより後方では後節骨動脈の枝を受ける.また中鼻甲介と上鼻甲介とは後方から並な動脈として外側後鼻動脈を受けるのである.
内側壁すなわち鼻中隔は上方からはやはり前篩骨動脈と後篩骨動脈を,後方からは中隔後鼻動脈を受けている.中隔後鼻動脈は切歯管をへて大口蓋動脈と吻合する.さらに上唇動脈の校が鼻前庭に達している.動脈の小幹は粘膜下のかなり深いところを走り,上皮のすぐ下まで毛細管の網を送りこんでいる.静脈は豊富であるが特に下鼻甲介のところと鼻腔の後部に多くて,そのため粘膜下組織が海綿組織に似ており,鼻甲介海綿叢Plexus cavernosi concharumとよばれる.
嗅粘膜のリンパ路は硬膜下腔(Schwalbe)またはクモ膜下腔(KeyとRetzius) から注入することによって色素で充たすことができる.そのさい一部は神経のまわりの神経周囲路を満たし,一部は粘膜内に独立しているリアパ管網を満たす.豊富な液腔がこのリンパ管網とつながっている.
鼻に分布する神経の一部は特別な感覚神経の嗅糸Fila olfactoriaであるが,一部は終神経(?)と三叉神経に属する知覚神経もあり,また翼口蓋神経節から来る交感神経もある.
喉頭・気管・肺が下気道を構成している.喉頭はそれとともに音声をつくることにあずかる.
喉頭は頚の前上部で第3ないし第6頚椎の高さにあり,男では正中部に喉頭隆起Prominentia laryngiicaという突出部を作っている.これは俗にアダムのリンゴAdamsapfelと呼ばれる.
喉頭の上部は三角錐の形をていし,下部は円柱形にかなり近い形となって気管に続いている.
喉頭はいくつかの軟骨でできた骨組みをもっている.これらの軟骨は靱帯によって可動的に連結されている.そのほかに筋も存在し,これが軟骨を相互に動かし,それによって各部の形や緊張度がいろいろと変化する.喉頭腔は粘膜で被われている.この粘膜は咽頭の粘膜に続き,また2対のひだを作っている.下のひだが声帯ヒダで,音声を作ることに直接に関与している.発声器官としての喉頭の機能は,これが呼吸に関与するために必要なものよりもはるかに複雑な構造を生ぜしめているのである.
局所解剖:喉頭の後方には咽頭の喉頭部があり,両側には総頚動脈がある.甲状腺の左右両葉は喉頭の両側面で喉頭と総頚動脈のあいだに伸びだしている.それが喉頭の上縁にまで達していることすらある.前方は舌骨下筋群およびこの部分の浅頚筋膜と中頚筋膜とによって被われているが,中央部は筋で被われていない.上方は舌骨と舌に接している(図76, 77,84,86).
骨格との関係:頚椎の前方で第3頚椎体の上縁から第6頚椎体の下縁までの間にある.女と子供ではもっと上方にあり,老人ではもっと下方にある.
年令差:喉頭は生後3年目まではかなり著しく大きくなる.その後の成長は性的に成熟する時期まで男女とも非常にゆっくりしている.性的に成熟する時期になると成長は急速になり,1年間のあいだに男の喉頭の声門の長さは以前の2倍に達し,女では1倍半となる.
男女の差:完成した男の喉頭は前方の高さが7cm,最大幅4cm,甲状軟骨下縁での深さ(前後径)3cmである.女の喉頭はそれぞれ4.8cm,3.5cm,2.4cmの価である.男の声門裂の長さは平均2.5cm,女では1.5cmである(Luschka).(日本人の喉頭の高さは平均男4.1cm,女3. 3cm,声門裂の長さは男2.0cm,女1.5cmである(尾関才吉,東京医会誌25巻17号,1911).)
人種の差は多少ながらみられる.Grabert, Z. Morph. Anthrop.,1913;Waldeyer, A., 同誌, 26. Bd.,1926を参照のこと.
1. 甲状軟骨Cartilago thyreoides, Schildknorpel(図183,184)
甲状軟骨は喉頭軟骨のなかでもっとも大きく,右板と左板Laminae dextra et sinistraという板状あるいは翼状をした2枚の部分からなっていて,この2枚の板が正中線のところで多少の差はあるがと忙かく鋭い角をなしてたがいに合している.
左右の板はだいたい四辺形をしている.その前縁がいちばん短く,後縁は自由縁で厚くて,円みをおびており,上方と下方に棒状の突起を出している.この突起を上角および下角Cornua hyoideum et cricoideumという.上角の方が長くて上後方かつ内側に向う.下角はそれより短いが太くて前方かつ内側に向かっている.下角の内面には小さい関節面がある.
甲状軟骨の上縁は左右ともS字状に曲がっており,中央に上甲状切痕Incisura thyreoidea cranialisという切れこみを作っている.上縁は上甲状切痕のところで上方に凸の弧を画いてはじまり,上角のところで下方に向かってへこんだ曲線を画いて終わっている.下縁は中央がくぼんでいて,ここを下甲状切痕Incisura thyreoidea caudalis という.
[図189,190]喉頭の骨組みと舌骨(男) ( 9/10)
[図189]前面
[図190]後面
[図191,192]男の喉頭の筋と靱帯,気管の上端部および舌骨(9/10)
[図191]左前方からみる
[図192]後面
外面には斜線Linea obliquaという斜めに走る高まりがしばしばある.これは後上方で外面の上縁にある3角形の上甲状結節Tuberculum thyreoideum cranialeから始まり,前方かつ下方に走って下甲状結節Tuberculum thyreoideum caudaleに終わっている.
左右の板の内面はなめらかで少しへこんでいる.--上甲状結節の近くにはときおり甲状軟骨孔Foramen thyreoideumという穴がみられ,上喉頭動脈がここを貫いて通っている.この動脈は普通は上喉頭神経とともに舌骨甲状膜を貫くのである.--斜線には胸骨甲状筋が付着し,また甲状舌骨筋の起始をなしている.斜線より後方の面からは喉頭咽頭筋の甲状咽頭部が起こっている.
2. 輪状軟骨Cartllago cricoides(図185~187)
輪状軟骨は完全に閉じた丈夫な輪を作っている.その上に甲状軟骨と披裂軟骨とがのっており,下方は気管に連結するのである.前方から後方に向かって著しく高さを増し,後方では2~2.5cmであるが,前方では0.6~0.7cmにすぎない.その高さに従って上縁は斜め上方に走るが,下縁はほとんどまっすぐに横走して,ただ後端の近くで左右とも下方への弱い突出をもっている.前方の低い部分を弓Arcusといい,後方の丈の高いところを板Lamlnaという.板の上縁の中央にはわずかなくぼみがあり,その両側に突出した卵円形の関節面があって披裂軟骨をのせている.この関節面を披裂関節面Facles articularis arytaenoideaという.
輪状軟骨の外面は凸をなしていて,前方と側方は平滑である.後面の正中線には垂直にのびる高まりがあり,その両側にかなり広いくぼみがあって,そこから後輪状披裂筋が起こっている.側面には左右それぞれ1つずつの円くて小さい低い高まりがあって甲状関節面Facles articularls thyreoideaといい,甲状軟骨の下角を受けている
輪状軟骨の内面は全く平滑であって,横断すると下縁はだいたい円筒形であるが,上にすすむにつれて側方から押された形になり楕円形をていする.
3. 披裂軟骨Cartilago arytaenoides, Gießbeckenknorpel (図185~187)
披裂軟骨は三角錐の形をしている.その4つの面のうち後面は広くて3角形をしており,上方から下方にかけてえぐつた形である.前面(または外側面)には上方にすすむ弓状のたかまり,すなわち弓状稜Crista arcuataがあって,これは上方で小丘Colliculusにおいて終わっている 弓状稜によってこの面は上下に並ぶ3つの部に分けられる.そのうち下部は楕円窩Fovea oblongaといって甲状披裂筋の付くところである.中央部は三角窩Fovea trlangularisといい,かなり深いくぼみである.上部は3角形でなめらかである.披裂軟骨の内側面はこれまでの3つの面のうちで面積がもっとも小さく,向き合った他側の軟骨の同じ面とほぼ平行しており,静止の時には矢状面上にある.つぎに下面は底Basisといいわずかにくぼんでおり,かなり目立った関節面Facles artlcularlsを作っている.底から2つの突起が特に出ばつていて,そのうち後外側に向う円みをおびたものが筋突起Processus muscularisであり,前方に突きだしている尖った方が声帯突起Processus vocalisである.声帯突起には声帯靱帯が付着し,筋突起には披裂筋群がついている.
披裂軟骨の上端は尖Apexといって,後方かつ内側に向かって,円みをおびて終わっている.そこに小角軟骨がのっている.
4. 小角軟骨Cartllago corniculata(サントリニ軟骨Santorinischer Knorpel) (図185~187)
黄色をおびたごく小さい軟骨で円錐形をしている.披裂軟骨の尖に接していて,この尖をいっそう長くしており,その先端が下方にまがって終わっている.この軟骨は披裂軟骨と合していることがある.
5. 楔状軟骨Cartilago cuneiformis, (ウリスベルグ軟骨Wrisbergscher Knorpel) (図192)
小さい棒状の軟骨(弾性軟骨組織からなる)で,左右とも披裂喉頭蓋ヒダという粘膜のひだのなかにおさまっている.
6. 喉頭蓋軟骨Cartllago epiglottidis, Kehldeckelknorpel(図188,190)
この軟骨は喉頭蓋Epiglottis, Kehldeckelの軟骨性の基礎をなしており,卵円形の板ないし上部を短く切ったハート型の板の形をしていて,喉頭の入口の前方にあり,舌の根もとの後方に高くつき出ている(図84).
喉頭蓋軟骨は上方が幅ひろく,下方はとがって柄のようになっていて,ここを喉頭蓋軟骨茎Petiolus cartilaginis epiglottidisという.この軟骨は上甲状切痕のやや下方で甲状軟骨の内面に靱帯によって固く着いている.この軟骨の縁や面には小さいくぼみや隙間がたくさんあり,そのなかに小さな腺が存在する.中央には縦走する厚くなった部分がある(喉頭蓋柱Carima epiglottica).側縁は後方に曲がっており,その一部が粘膜の披裂喉頭蓋ヒダのなかに包まれている.喉頭蓋軟骨の舌面の下部は舌根から喉頭蓋にいたる粘膜の下にかくれている(図84).喉頭蓋軟骨の後面は横の軸については中央部がへこんで両側が高く,上下の軸については上部が凹で下部が凸である.
7. 種子軟骨Cartilagines sesamoides, Sesamknorpel
やや長めの円い形をした小さい弾性軟骨がしばしば声帯靱帯の前端のところにある.いっそうまれであるが披裂軟骨が小角軟骨とつながるところの外側に小さい軟骨のあることがある.また左右の披裂軟骨のあいだの粘膜のひだの中にやや長い俸状の小軟骨が時として存在する.
喉頭の軟骨はすべて軟骨膜で被われている.そして比較的大きい軟骨の諸部分は硝f軟骨でできていて,この硝子F軟骨がすでに25~30才で石灰化し,また骨化していることがある.
個々の喉頭軟骨は互いに一部は不動性に,一部は可動性につながっている.さらに粘膜のひだが連結の特別ななかだちをするものとして重要視されねばならない.
α. 舌骨甲状膜Membrana hyothyreoidea (図189,190,191,192)
弾性線維を織りこんだ固い結合組織性の幅の広い靱帯で,甲状軟骨の上縁ぜんたいから起こって上方にのびて舌骨の傾斜した下面の後上縁に達している.
舌骨と甲状軟骨の間にはたいてい胸骨舌筋嚢Bursa m. sterllohyoideiという滑液包がある.--舌骨甲状膜は左右とも上喉頭神経,上喉頭動脈によって貫かれている.
舌骨甲状膜の中央部は厚くて丈夫である.この部分は中舌骨甲状靱帯Lig. hyothyreoldeum mediumとも呼ばれる(図189).これに薄く疎な側方がつづいている.その最も外側の縁に沿って,甲状軟骨の上角と舌骨の大角の円くなった端のあいだに黄色をおびた外側舌骨甲状靱帯Lig. hyothyreoideum lateraleが走っている.この靱帯はしばしばやや長めの軟骨片を包んでいて,これを麦粒軟骨Cartilago triticeaという.これはときとして石灰化している(図190,193).
β. 輪状甲状関節Articulus cricothyreoldeus (図189,195)
この関節はゆるい関節包で包まれていて,輪状甲状[関節]靱帯Ligg. articuli crlcothyreoideiがそれを補強している.
この関節はときおり線維軟骨結合をなしているようである(Schumacher. Wlener Klin Wochenschr.1924).その靱帯は大部分が弾性線維からできている.
γ. 輪状甲状靱帯-弾性円錐の自由部Lig. cricothyreoideum=Pars libera coni elastici (図77,189,191)
輪状甲状靱帯は丈夫なもので,輪状軟骨の弓からこれに向い合っている甲状軟骨の縁との間に張るものである.その中央部の近くを上甲状腺動脈の輪状甲状筋枝Rami cricothyreoideiが貫いている.
[図193]男の喉頭および気管の上部と舌骨,これらに付着する筋と靱帯.甲状軟骨の左板とこれに付着する靱帯は大部分取り去ってある.左からみる.(9/10)
輪状甲状靱帯の側縁ははっきりした終りをしめさないで喉頭粘膜の粘膜下組織のなかにある黄色をおびて弾性に富む喉頭弾性膜Membrana elastica laryngisに続いている.この膜は後方は披裂軟骨と,前方は甲状軟骨と,下方は完全に輪状軟骨とつながっている.この膜の上縁は声帯靱帯となっている(次のη参照).これらのものをすべてひつくるめて弾性円錐Conus elasticusという.
δ. 甲状喉頭蓋靱帯Lig. thyreoepiglotticum(図190)
これは喉頭蓋軟骨の茎を甲状軟骨の上甲状切痕の下に固着させている.この靱帯は喉頭蓋軟骨の前面の方につづくのである.
ε. 輪状披裂関節Articulus cricoarytaenoideus(図185~187,190)
この関節は薄い関節包で包まれている.後方には丈夫な1つの線維束があって,これを後輪状披裂靱帯Lig. cricoarytaenoideum dorsaleといい,弾性線維を豊富にもっていて(S. v. Schumacher),これが関節を補強している.また関節内に薄くて狭い関節円板が後方からはいりこんでいる.
[図194]男の喉頭 後壁は正中線で切り開き左右に広げてある.左の声帯ヒダの粘膜ははぎ取ってある.(9/10)
ζ. 輪状咽頭靱帯Lig. crlcopharynglcum(図190)
左右の小角軟骨から細い線維束が下方かつ内側に向かっている.これが小角咽頭靱帯Lig. corniculopharyngicumで,左右のものが合してクビキ(軌)靱帯Lig. jugaleとなって輪状軟骨の板の上縁と咽頭の粘膜に達している.咽頭の粘膜にゆく部分は輪状咽頭靱帯Lig. cricopharyngicumとよばれる.時として左右のものが合するところに小さい種子軟骨がみられる.
η. 声帯靱帯Lig. vocale(図201)
左右の声帯ヒダのなかには丈夫な弾性線維の束がふくまれていて,これは甲状軟骨の角のところから披裂軟骨の声帯突起に達している.この靱帯の前端部には弾性組織からなる黄色い小結節がある.
喉頭には頚部の筋と咽頭筋のところですでに記載した喉頭に働きかける外部からの諸筋のほかに,なおいくつかの喉頭に固有な筋がある.これらは喉頭の諸軟骨の間に張るものである.
短くて強い筋で,左右とも輪状軟骨の弓において正中線のすぐそばから広い起始をもってはじまり,外側かつ上方にすすんで甲状軟骨の下縁とその下角の内方縁に付着している.
この筋の前部は甲状軟骨の下甲状結節のところで,この筋の後部からかなりはっきりと境いされている.後部はほぼ横の方向に走るのである.したがって前部を直部Pars recta,後部を斜部Pars obliquaという.表層のいくらかの線維が喉頭咽頭筋に移行していることがはなはだ多い.
この筋は輪状軟骨の板の後面にある左右のくぼみから起り,外側かつ上方にすすんで披裂軟骨の筋突起に付着する.
ときおりこの筋から1本の筋束が別れて,甲状軟骨の下角の後方で輪状軟骨の上縁から起り,外側かつ上方にすすんで下角にいたる.これを下角輪状筋M. ceratocricoideusという.また下角から小さい筋が出て主筋に接してすすみ,筋突起に達していることがある(下角披裂筋M. ceratoarytaenoideus).
これは斜部Pars obliquaと横部Pars transversaとからなっている.横部は披裂軟骨の後面の下部とその瀾節の上を横に広がっており,披裂軟骨の外側縁に付着する.やや長めの四辺形の筋であって,輪状軟骨の板の上縁の上にのっている.
斜部は細い筋束で横部の後面にのっており,筋突起から起こって斜めに走って,他側の披裂軟骨の上部に向かっている.したがって他側の同名筋と交叉する.若干の筋束は披裂軟骨を廻って前上方にすすみ,喉頭蓋軟骨の側縁のところでみえなくなる.これを披裂喉頭蓋筋M. aryepiglotticusという.
この筋の一部が下方にすすんで甲状軟骨の角に着いていることが非常に多いので,この筋の全体を甲状披裂喉頭蓋筋M. thyreoaryepiglotticusとも呼んでいる.
この筋は輪状軟骨の上縁と側方部の外面から始まり,斜めに後上方にすすんで披裂軟骨の筋突起に付着している.
この筋は前方は甲状軟骨の内面から起り,後方かつ外側にすすんで披裂軟骨にいたる.下方の部分がいっそう強大であり,上方の部分はそれより弱い.下方の部分が外側部pars lateralisと声帯部Pars vocalisの2つに不完全ながら分れていることがある.声帯部は声帯ヒダのなかにあるから声帯筋M. vocalisとも呼ばれる.
声帯部は甲状軟骨から披裂軟骨の楕円窩に達している.
室ヒダのなかにふくまれている弱い筋束が以前には室ヒダ筋M. ventricularisと呼ばれた.
薄い板状の筋で,前方は甲状軟骨の内面から始まり後方ならびに上方にすすんで喉頭蓋にいたる.
斜披裂小角筋M. arycorniculatus obliquus (Luschka).これは披裂喉頭蓋筋から分れて,小角軟骨の先端に終る筋束である.
直披裂小角筋M. arycorniculatus rectus(Luschka).これは披裂軟骨の後面から出て,小角軟骨の凹側に小さい腱をもって付く筋束である.
輪状甲状筋は甲状軟骨を前下方に引く.そのさい披裂軟骨が固定していると,甲状軟骨と声帯突起との距離が大きくなり,声帯ヒダは(受動的に)緊張する.
後輪状披裂筋(臨床家のいう“Posticus”)は披裂軟骨の筋突起を後下方に引く.それによって声帯突起は外側かつ上方に動き声門が広くなる(図195).
[図195~197]“Posticus”(図195)“Lateralis”(図196)“Transversus”(図197)が披裂筋と声帯ヒダに対して如何に作用するかを示す模型図 黒は始めの位置,赤は終りの位置,矢印は筋の引く力の方向を示す.(Denker-Brünings Lehrbuch 1915による)
外側輪状披裂筋(“Lateralis”)これは後輪状披裂筋の拮抗筋で披裂軟骨の筋突起を前下方に引く.それによって声帯突起の先端は内側に動き声門の膜間部が狭くなる(図196).
披裂筋(“Transversus”)は左右の披裂軟骨をたがいに近ずげ,声門の軟骨間部を狭くする(図197).
披裂喉頭蓋筋は喉頭蓋を後下方に引く.
甲状喉頭蓋筋は喉頭蓋の上縁を後下方に引く.
声帯筋(“Internus”)は声帯ヒダにその働きに必要な緊張をあたえる.もっともあたえられる緊張度は個々の場合で野なるものである.
声門を広げたり狭くしたりすることは声帯ヒダをゆるめたり緊張さぜたりすることとは関係がない.声門が狭いときに,ゆるんだ声帯ヒダで取りまかれ,広いときに緊張した声帯ヒダでかこまれていることがある.
神経支配:輪状甲状筋は上喉頭神経に支配され,そのほかの喉頭筋はみな下喉頭神経で支配されている.
喉頭粘膜にはいくつかのひだがあり,そのうち一部は喉頭の内部に,一部は喉頭口に,一部は喉頭口の外にある.
1. 正中舌喉頭蓋ヒダ,外側舌喉頭蓋ヒダPlica glossoepiglottica medlana, Plicae glossoepiglotticae laterales.
これらは結合組織を内部にもつ粘膜のひだで,舌の根もとから喉頭蓋の舌面の上にのびている(図69).この2つのヒダのあいだに喉頭蓋谷Valleculae epiglottidisがある.
2. 披裂喉頭蓋ヒダPlica aryepiglottica(図84,86,87,192,194)
これは両側において喉頭蓋の側縁から披裂軟骨にのびるもので,喉頭の入口を側方から囲んでいる.左右のヒダの下1/4のところにはやや長い形の突出部があって,楔状結節Tuberculum cuneiformeという.それよりもっと後内側に小角結節Tuberculum corniculatumという第2の結節がある.これらの結節には同名の軟骨が存在する.左右の披裂軟骨のあいだに張っている粘膜のひだは正中面において切れこみをもっている.これは狭いものであるが横の方向に強くひろがることのできるもので披裂間切痕Incisura interarytaenoideaという(図87).
3. 室ヒダ Plica ventricularis, Taschenfalte(Taschenband, falsches Stimmband)
喉頭の内部に強く隆起する粘膜のひだで対をなしており,脂肪組織・筋線維・腺を包んでいる.甲状軟骨から披裂軟骨に向かって前後の方向にのびている(図84,194,198, 201).
4. 声帯ヒダPlica vocalis, Stim mfalte (Stimmband) (図84,194,198, 201)
これも対をなしており,鋭い縁をもって縦走する粘膜のひだで自みがかった色をしていて室ヒダの下方にあり,甲状軟骨からやはり披裂軟骨に達している.これは三角プリズムの形の声帯唇Labium vocaleという高まりの自由縁に相当している.声帯唇はそのなかに声帯靱帯と声帯筋をふくむのである.黄色をした声帯靱帯の結節がこのひだの中でわずかにすいて見えるが,そこを黄斑Macula flavaというのである.また披裂軟骨の声帯突起の先端も黄色くすいて見えるが,ここは特別に名前がついていない.声帯ヒダの自由縁が振動することによって音声が発せられる.
[図198]喉頭の前半部 前額断してその後半分を除去してある(1/1)
1 喉頭蓋;2 喉頭蓋結節;3 甲状軟骨の板;4 輪状軟骨;5 第1気管軟骨;6 室ヒダ;7声帯ヒダ;8 喉頭室;9 喉頭腔の下部;10 甲状披裂筋.
粘膜は全体として薄くて,白っぽいバラ色,ないし黄紅色を呈している.固有層は弾性線維に富んでいて,所により量に相違はあるがリンパ球が存在し,それがかなり大量に集まって喉頭リンパ小節Lymphonoduli laryngiciとよばれる孤立リンパ小節をなしている.上皮はほとんどすべてが多列絨毛上皮で,その線毛は咽頭の方に運動するのである.喉頭蓋の後面と披裂軟骨の内面,および声帯ヒダ(図201)のところだけには重層扁平上皮が存在する.声帯ヒダの固有層には縦走する高まりがたくさんあるので,この鐵嚢を横断して見ると,その高まりが乳頭と間違えられることがある.喉頭蓋の前面には多数の乳頭がある.これら2つのところは横断してみるとガラスの様に明るい繊細な基礎膜が上皮のすぐドにある.喉頭蓋の上皮には味蕾が少数に散在することが知られている.
喉頭蓋の後面と披裂軟骨の内側では粘膜がしっかりと動かないようにくつづいている.側方部の下面ではそのくっつき方が弱くて特に披裂喉頭蓋厳嚢のところがそうである.
ここでは粘膜は多量の疎性結合組織を被っており,これは窒息を突然にもたらす危険な浸潤の起る場所となる傾向をもつのである(声門水腫Glottisödem).
喉頭粘膜の粘膜下組織は弾性組織に富み,その全体が喉頭弾性膜Membrana elastica laryngisと総称される(139頁参照).
喉頭の粘膜には多数の喉頭腺Glandulae laryngicaeがある.
喉頭腺は声帯ヒダのすぐそばには存在しない.3カ所で特にたくさん集まっていて,それは次の場所である.すなわち上方群は喉頭蓋の後面(50個以上)と喉頭鰓のこれに接する部分,中央群は室ヒダのなか(図201),後方群は左右の披裂軟骨ならびに小角軟骨のあいだである.
混合腺と漿液腺とがある.混合腺は管状胞状腺でジアヌッチ半月 Gianuzzischer Halbmondをもっている.漿液腺は管状腺である.
動脈は上甲状腺動脈から分れる上喉頭動脈と下甲状腺動脈から分れる下喉頭動脈である.細いが臨床的に重要な輪状甲状筋枝Ramus cricothyreoideusは上甲状腺動脈の枝であるぶこれについてはすでに述べた(139頁). この動脈は他側の同名動脈と吻合する(図223).
静脈は上下の甲状腺静脈にいたる.
リンパ管は非常にたくさんあり,2つの平面上に広がって網を作っている.これらの網はたがいにつながり,またその内容をなすリンパは近くにある頚部のリンパ節に導かれる.
[図199]ウサギの喉頭蓋における上皮下の神経終末小樹(Arnstein)
[図200]イヌの気管後壁の神経叢におけるごく小さな神経節
a 樹状突起をもつ神経細胞.枝分れしない突起(d)は瘤状の部分をもつ線維variköse Nervenfaserとして神経節を出て色の薄い細い神経小幹にいたる;b 神経細胞でその神経突起は気管の筋肉まで追求できた;c 細い有髄神経線維,神経節のなかで枝分れして髄鞘を失い著しくうねってから細胞周囲の終末装置に終る.この終末装置によって取り囲まれた神経細胞は染つていない(Arnstein).
神経は迷走神経から出る上下の喉頭神経と交感神経の吻合枝がらきている.上喉頭神経の外枝は輪状甲状筋を,内校は上二部の喉頭粘膜を支配し,下喉頭神経はそのほかのすべての喉頭筋と下部の粘膜とを支配する.粘膜に分布する多数の神経の経過中には小さい神経節が存在している.
喉頭蓋の神経終末装置は一部は上皮下に,一部は上皮内にある.上皮下のものは終末小樹,終末糸球および細胞周囲終末の形をとっている(図199).上皮内のものは瘤の部分をもつ細糸,その細糸が集まった束,および細胞周囲終末装置の形をとっており,また喉頭蓋の味蕾のなかでは,上皮細胞間神経終末の形をぶしている.喉頭粘膜の神経支配は喉頭蓋のそれに似ている.
喉頭蓋,喉頭,気管の神経節は極めてたくさんにみられる.
喉頭腔は粘膜の存在のために骨組みだけが取り囲む空所とはその形と広がりが本質的にいろいろと違っているのである.全体としていえば喉頭腔は上方から中央部にかけてロート状に狭くなり,中央部から下方はふたたび広くなっている(図198).
[図201]声帯ヒダと室ヒダの横断面 声帯ヒダの自由縁で*から*までのところが重層扁平上皮で被おれている.
したがって前頭断では砂時計の形をしている.上方と下方の狭くなったところの間には喉頭室Ventriculus laryngis(図194,198, 201)というかなりの空所が横の方向に広がっている.それゆえ喉頭腔を上部,中部,下部の3つの部分に分けるのがよい.
上部は喉頭前庭Vestibulum laryngis, Vorhofといい,前方が広く後方が狭い不規則な四辺形をした喉頭口Aditus laryngisで始まっている.喉頭蓋と披裂喉頭蓋ヒダでかこまれている(図87).小角結節と楔状結節および披裂間切痕については粘膜のところですでに説明した(143頁参照).
喉頭前庭の前壁は喉頭蓋の後面のみから作られていて4.5cmの長さである.下方1/3において前壁面が横の方向に高まりを示し,多くのばあい低いが,しばしば強く突出する1本の縦走する隆起ができていて,これを喉頭蓋結節Tuberculum epiglottidis(図194)という.前庭の後壁の形はすべて披裂軟骨の位置によって定まる.披裂軟骨がたがいに近寄ると後壁の形は隙間のようになり,左右の軟骨が離れると後壁が平らになって丈も低くなる.前庭の側壁は不正四辺形で,下方は縮少して室ヒダに移行しており,室ヒダは前庭と喉頭腔の中部との境となっている(図194,198).
喉頭腔の中部は室鍼襞によって前庭から境され,また声帯ヒダによって喉頭腔の下部から境されている.中部は矢状方向の隙間でその大きさがいろいろと変る.室ヒダは前方で鋭角を作ってたがいに密接し,後方は軽い凹を画いてたがいに離れている.左右の室ヒダのあいだにある隙間は前庭裂Rima vestibuliといい,変化に富むものである.それに対して左右の声帯ヒダと筋突起の内側縁および披裂軟骨により境いされた矢状方向の裂目が声門裂Rima glottidis, Stimmritzeであって,その形や大きさがよく変るものである.声帯ヒダは喉頭に属する発音のための装置であるが,甲状軟骨におけるその起始から後方に向かって左右のものが次第に離開して,同時にやや上方にすすむ.声門裂の前部で声帯突起までの部分を膜間部Pars intermembranaceaといい,後方の短い部分を軟骨間部Pars intercartilagineaという.
声門Glottlsは音声を作る喉頭の部分であり,左右の声帯ヒダからできている.
室ヒダと声帯ヒダのあいだには左右各側に喉頭室への入口がある.喉頭室は外側上方に広がって,行きづまりに終る空所で,粘膜によって完全に囲まれており,横断面で約1cmの高さをもっている.喉頭室は喉頭室付属Appendix ventriculi laryngisをもって喉頭前庭の外側でしばしばかなり上方までのびている.
多くのサルではこの空所が非常に大きく発達していて,鎖骨のところにまで伸びており,音響嚢Schallsäckeとなっていることがある.
喉頭腔の下部は各部分のうちでもっとも簡蛍な状態である.円錐形であって,下方が広くなって気管の内腔に続いている.
声門裂の形は,これがほぼ完全に閉じているさいには狭くて長い隙間で,まん中がやや広くなっている.
少し開いているとき,たとえば静かな呼吸のときには,前方が鋭角で左右の披裂軟骨の間を底辺とする長い三角形に似ている.完全に開くと,その形は後方の角をおとした長い菱形である.後方の2辺は披裂軟骨の内側縁でできている.声門裂は喉頭腔のもっとも狭い部分である.その長さは男では2.0~2.4cm,静かな呼吸の時にそのもっとも広いところで測ると,声門裂の幅が0.5cmあるが,これは1.4 cmまで広がりうる.女と子供ではこれらの数値が上にあげたものより1/5ほど少い.声帯雛襞そのものの長さは男で約1.5cm,女で約1.2cmである.
気管Luftröhreは体の正中線にあって,頚部と胸部とにわけられる.第6頚椎体のところから始まるが,男ではその下縁から,女では上縁の高さで始まる.胸腔の中では第4胸椎の高さに気管分岐部Bifurcatio tracheaeがあって,そこで右と左の気管支Bronchus dexter et sinisterという2本のいっそう細い管に分れてたがいに離れてゆき右と左の肺に達する.分岐部のところで大動脈弓と交叉する(図212).気管の長さは成人で9~15 cm,幅は1.5~2.7 cmの間の変動がある.(日本人の気管の長さの平均は生体造影法によると呼気相では男12.0cm,女10.0cm,吸気相では男13.5cm,女11.0cmである.また太さは呼気相で男1.3~2.0cm,女1.0~1.5 cm,吸気相で男1.5~2.2 cm,女1.3~1.8 cmである(前田清一郎,東京医雑誌45巻,昭和6年))
[図202]喉頭と気管, 気管支およびその太い枝 前面(9/10)
中央部に向かっていくぶん太くなっている(上下の両端に近づくと比較的細い).男は一般に女より太い.前方と側方は円筒形をしていて固くて丈夫であり,その壁のなかに気管軟骨という弓状の軟骨がふくまれている.この弓状の軟骨は後方が開いたままであって,すなわち気管の壁の後部は軟骨の基礎をもたないのである.したがってこの部分は膜様で平らである.この部分を膜性壁Parles membranaceusという.
局所解剖(図223, 224, 226):気管の後がわには食道があって膜性壁を少し押しだしたかっこうをしている(図88).食道は気管の頚部では気管の左縁を外側に越えていて,もっと下では左の気管支と交叉している.第2から第5までの気管軟骨の前方には甲状腺の峡がある.甲状腺の左右両葉は気管の上部の側面を包んでいる.
[図203]気管とその分枝(死体)
横隔膜は空気で充された肺によって下方に押しやられている.レントゲン写真.背位(Haßelwanderによる)
[図203a]気管分枝の模型図 区域気管支Sementbronchenの名前は1949年ロンドンにおいて決定した名称による(Dennig, Lehrb. mn. Med., Thieme Stuttgart,1954より).
甲状腺が錐体葉をもっているさいには,これが気管の上部の上を越えて,たいてい喉頭の左側の面上を正中線に沿って上方にいたる.子供では胸骨と気管のあいだによく発達した胸腺がひろがっている.両側の胸骨舌骨筋と胸骨甲状筋が気管の前面を被っている.しかし左右の胸骨甲状筋のあいだに狭くて長い菱形の空所が残っていて,そこでは気管を被うものは頚筋膜だけである.そのほか最下甲状腺静脈が気管の前を走っている(図223).気管分岐部の上方で左腕頭静脈,腕頭動脈,左総頚動脈が気管の上を通り過ぎる.もっと上方では左右の総頚動脈が気管に沿っている.気管と食道のあいだの溝で,左側の溝のなかを下喉頭神経が通る.気管は左右の胸膜嚢にはさまれて縦隔の前部と後部の境のところにある.そのさい脊柱の弯曲に沿っていくぶん後方にすすんでいる.
右と左の気管支は下方に向かって開く角度がほぼ直角をなして気管から発する.それぞれ相当する肺に向かって外側かつ下方におもむく途中において,その長さや幅はもとより,そのすすむ方向も,隣接する器官との関係もかなりに大きく左右のあいだで違っている.
右気管支は左気管支より短いが,いっそう太い(図202, 204).だいたい3cmの長さであって,いっそう急な傾斜をもって下方に走って右の肺門に達している.
右縦胸静脈は後方から右気管支の上を越えてすすみ,上大静脈に開口する.肺動脈の右枝は初め右気管支の下にあるが,のちにはその前方にくる(図210, 212, 224).
左気管支は右気管支よりも細くて,いっそう長く,4~5cmの長さである.外側F方にすすんで大動脈弓の下をへて左肺にいたり,右気管支が右肺の肺門に達するところよりも2.5cm低いところで左肺の肺門に達している.左気管支は食道と下行大動脈の前方を走るが,大動脈弓は左気管支の上方を通って左後方にすすんでいる(図210, 212, 226).(わかりやすく言うと,大動脈弓は左気管支の上にまたがり,右縦胸静脈は右気管女の上をまたいでいる.(原著者))大動脈弓と左気管支のあいだには左の反回神経がある(図88).
左右の気管支はその形についてみると気管をより小さく縮めたようなものである.前方と側方が円みをもって高まって固く,弓状の軟骨(後方で開いている)によって支えられている.それゆえ後方は平らで膜性である(図204, 212)
気管は気管軟骨からなる弾力をもった骨組みと,結合組織層と筋層,および腺を有する粘膜からできている.
a)気管軟骨Cartilagines tracheales.硝子軟骨でできていて,これは16~22個存在する(図202, 204).これらの軟骨は円周の2/3よりやや大きいくらいの弧を画いており,後方は鋭い縁をもって終わっている.幅は3~4mm厚さは1.0~1.5mmある.外面は平らであるが内面は丸くたかまっており,上下の縁が鋭くなっている.気管軟骨は軟骨膜で被われており,かつ強靱結合組織によってたがいにしっかりと連なっている.
第1気管軟骨はたいていそれ以下のものより幅が広くて,その端がしばしば分れている.ときには輪状軟骨あるいは第2気管軟骨といろいろな範囲で融合している.いちばん最後の気管軟骨は気管分岐部に応じた特有な形をしている.すなわちト縁は中央のところが下方に突出し, それとともに後方にまがっている.したがって左右の気管支にはさまれた弓状の突起をもっているわげである.そのすぐ上方にある気管軟骨は中央部が幅広くなっている.気管軟骨の端は短い2つの枝に分れていることが少なくない.そのさいたいていその次にある気管軟骨のそれき反対側の端も分れていて,それ以下の軟骨の並び方はふたたび平行になる.ときどぎ隣接する2っの軟骨の端が合同している.
b)筋層.これは平滑筋の層である.気管軟骨をもっている気管の前部は筋層を欠くが,膜性壁にはこれが存在している(図204).筋層は気管軟骨の後端から始まっていま1つの後端に終る.
縦走するまばらな筋束が筋層の外に重なっていて,これが食道の壁ともつながっていることがある.これを気管食道筋M. tracheooesophagicusという.
粘膜と粘膜下組織(図204~207).粘膜は多列線毛上皮で被われており,この上皮は鼻腔や喉頭のものとほとんど区別できない.線毛上皮細胞のあいだには多数の杯細胞がある.上皮の下には厚くて明るい基礎膜が存在する(第1巻47図).それにつづいて細胞に富みほとんど純粋に弾性組織の性質をもつ固有層がある.ここで線維は縦の方向に走っている.粘膜下組織は強い結合組織の束からできている.ここには多数の気管腺Glandulae trachealesがある.そのうち比較的大きなものは気管の軟骨部では平らな腺体を有していて,気管軟骨のあいだの場所にひろがっている.膜性壁にも多数の腺があって,その開口部は肉眼でも見ることができる.これらの腺は一部は漿液性であり,一部は混合性である.気管の混合腺は管状胞状腺の形をしていて,ジアヌッチ半月Gianuzzische Halbmondeをもっている.
[図204]喉頭,気管および気管支とその太い枝 後面(9/10) 気管の下部と気管支においては筋層を剖出してある.
[図205]気管腺Glandula trachealis 断面
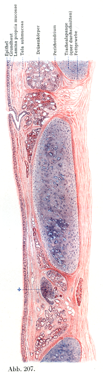
[図206]ヒトの気管 横断×4
[図207]気管 27才の男 縦断×22
†孤立リンパ小節
*気管腺の導管の開口
[図208]左肺の内側面(7/10) 肺間膜は切断してある.
粘液腺のそばには漿液腺があって,その導管はたいてい粘液腺の導管に開口している(図205, 207).
気管支の構造は気管のそれと同じにできている.気管のものより短くて幅のせまい軟骨輪があって,その数は右気管支では6個ないし8個,左気管支では9個ないし12個の範囲である.粘膜下組織にある腺は気管支腺Glandulae bronchalesと呼ばれる.
脈管と神経.気管の動脈は主として下甲状腺動脈からきている.静脈は近在の静賑叢で・甲状腺静脈に属しているものにはいる.リンパ管はたくさんある.神経は迷走神経の幹からく来るものがあり,またその枝である反回神経から,そのほかを交感神経からきている.
[図209]右肺の内側面(4/5)肺間膜は切断してある.
最終更新日 13/02/03